Magnetic resonance imaging mapping of brain function. Human visual cortex
- PMID: 1468876
- PMCID: PMC4097384
- DOI: 10.1097/00004424-199212002-00011
Magnetic resonance imaging mapping of brain function. Human visual cortex
Abstract
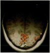
Magnetic resonance imaging (MRI) studies of human brain activity are described. Task-induced changes in brain cognitive state were measured using high-speed MRI techniques sensitive to changes in cerebral blood volume (CBV), blood flow (CBF), and blood oxygenation. These techniques were used to generate the first functional MRI maps of human task activation, by using a visual stimulus paradigm. The methodology of MRI brain mapping and results from the investigation of the functional organization and frequency response of human primary visual cortex (V1) are presented.
Figures






References
-
- Zeki S, Shipp S. The functional logic of cortical connections. Nature. 1988;335:311–317. - PubMed
-
- Kosslyn SM. Aspects of a cognitive neuroscience of mental imagery. Science. 1988;240:1621–1626. - PubMed
-
- Born RT, Tootell RBH. Segregation of global and local motion processing in primate middle temporal visual area. Nature. 1992;357:497–499. - PubMed
-
- Churchland PS, Sejnowski TJ. Perspectives on cognitive neuroscience. Science. 1988;242:741–745. - PubMed
Publication types
MeSH terms
Substances
Grants and funding
LinkOut - more resources
Full Text Sources
Other Literature Sources
Medical