Correlation of N-myc downstream-regulated gene 1 overexpression with progressive growth of colorectal neoplasm
- PMID: 14966915
- PMCID: PMC4716978
- DOI: 10.3748/wjg.v10.i4.550
Correlation of N-myc downstream-regulated gene 1 overexpression with progressive growth of colorectal neoplasm
Abstract
Aim: To study the function of N-myc downstream-regulated gene 1 (NDRG1) in colorectal carcinogenesis and its correlation with tumor lymph node metastasis.
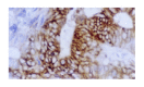
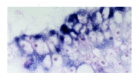
Methods: NDRG1 was detected at its protein level by immunohistochemistry (IHC) and image analysis (IA), and NDRG1 mRNA was detected by in situ hybridization (ISH) in formalin-fixed and paraffin-embedded sections with a total of 190 specimens including 38 normal colorectal mucosae, 31 colorectal adenomas, 45 non-metastatic colorectal carcinomas (CRCs), 38 metastatic primary CRC and subsequently regional lymph nodes respectively. At the same time, the correlations of NDRG1 with sex, age of patients and histological types of colorectal carcinomas were observed.
Results: NDRG1 proteins were gradually increased in colorectal carcinogenesis (P<0.05 or P<0.01). There was a significant difference in the expression of NDRG1 between non-metastatic and metastatic CRCs (P<0.05), and the correlation was positive (P<0.01, r(s)=0.329). However, there was no obvious difference in the expression of NDRG1 between the primary sites of CRCs and that in the metastatic sites of corresponding regional lymph nodes, nor was there an apparent difference in sex, age, and histological types. The expression of NDRG1 mRNA was generally in concordance with that of NDRG1 protein.
Conclusion: NDRG1 gene may play an important role in colorectal carcinogenesis. In addition, NDRG1 may be a putative tumor metastasis promoter gene and is regarded as one of the molecular biological markers that can forecast early metastasis of CRCs. NDRG1 gene in the metastatic sites of regional lymph nodes may preserve its expression characteristics in the primary sites of CRCs to some extent. The expression of NDRG1 is not affected by sex, age and histological types. The role of NDRG1 in tumor metastatic process can be demonstrated by in vivo and in vitro.
Figures






References
-
- Kokame K, Kato H, Miyata T. Homocysteine-respondent genes in vascular endothelial cells identified by differential display analysis. GRP78/BiP and novel genes. J Biol Chem. 1996;271:29659–29665. - PubMed
-
- van Belzen N, Dinjens WN, Diesveld MP, Groen NA, van der Made AC, Nozawa Y, Vlietstra R, Trapman J, Bosman FT. A novel gene which is up-regulated during colon epithelial cell differentiation and down-regulated in colorectal neoplasms. Lab Invest. 1997;77:85–92. - PubMed
-
- Zhou D, Salnikow K, Costa M. Cap43, a novel gene specifically induced by Ni2+ compounds. Cancer Res. 1998;58:2182–2189. - PubMed
-
- Kurdistani SK, Arizti P, Reimer CL, Sugrue MM, Aaronson SA, Lee SW. Inhibition of tumor cell growth by RTP/rit42 and its responsiveness to p53 and DNA damage. Cancer Res. 1998;58:4439–4444. - PubMed
-
- Park H, Adams MA, Lachat P, Bosman F, Pang SC, Graham CH. Hypoxia induces the expression of a 43-kDa protein (PROXY-1) in normal and malignant cells. Biochem Biophys Res Commun. 2000;276:321–328. - PubMed
MeSH terms
Substances
LinkOut - more resources
Full Text Sources
Medical