Skip to main page content
U.S. flag

An official website of the United States government

Dot gov

The .gov means it’s official.
Federal government websites often end in .gov or .mil. Before sharing sensitive information, make sure you’re on a federal government site.

Https

The site is secure.
The https:// ensures that you are connecting to the official website and that any information you provide is encrypted and transmitted securely.

Access keys NCBI Homepage MyNCBI Homepage Main Content Main Navigation
. 2004 Feb 25;24(8):1793-802.
doi: 10.1523/JNEUROSCI.4862-03.2004.

Incentive-elicited brain activation in adolescents: similarities and differences from young adults

Affiliations

Incentive-elicited brain activation in adolescents: similarities and differences from young adults

James M Bjork et al. J Neurosci. .

Abstract

Brain motivational circuitry in human adolescence is poorly characterized. One theory holds that risky behavior in adolescence results in part from a relatively overactive ventral striatal (VS) motivational circuit that readily energizes approach toward salient appetitive cues. However, other evidence fosters a theory that this circuit is developmentally underactive, in which adolescents approach more robust incentives (such as risk taking or drug experimentation) to recruit this circuitry. To help resolve this, we compared brain activation in 12 adolescents (12-17 years of age) and 12 young adults (22-28 years of age) while they anticipated the opportunity to respond to obtain monetary gains as well as to avoid monetary losses. In both age groups, anticipation of potential gain activated portions of the VS, right insula, dorsal thalamus, and dorsal midbrain, where the magnitude of VS activation was sensitive to gain amount. Notification of gain outcomes (in contrast with missed gains) activated the mesial frontal cortex (mFC). Across all subjects, signal increase in the right nucleus accumbens during anticipation of responding for large gains independently correlated with both age and self-rated excitement about the high gain cue. In direct comparison, adolescents evidenced less recruitment of the right VS and right-extended amygdala while anticipating responding for gains (in contrast with anticipation of nongains) compared with young adults. However, brain activation after gain outcomes did not appreciably differ between age groups. These results suggest that adolescents selectively show reduced recruitment of motivational but not consummatory components of reward-directed behavior.

PubMed Disclaimer

Figures

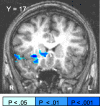
Figure 1.
Figure 1.
Statistical maps of the gain anticipation and gain outcome contrasts. A, B, Statistical maps thresholded at p < 0.0001 (z > 3.888) uncorrected illustrate modest activations in ventral striatum anticipating responding for gains (vs nongains) in adolescents (A) but more extensive bilateral activations by this contrast in adults (B). C, D, Notification of gains (vs failure to win gains) activated mesial frontal cortex (Brodmann area 10,32) in both adolescents (C) and adults (D).
Figure 2.
Figure 2.
Event-elicited signal change in VOI. Each VOI was a sphere 6 mm in diameter centered on the Talairach coordinates showing the highest event-related z statistic in a previous experiment using this paradigm (Knutson et al., 2003). These were the gain versus nongain anticipation contrast maxima in the left NAcc (-9, 10, 0; A) and right NAcc (11,12, 0; B) and the gain versus nongain outcome maxima in the mFC (1, 53, -6; C). Data were averaged across the VOI and extracted during the acquisition corresponding to the lagged peak of the event-related hemodynamic response in adolescents (squares) and adults (circles) and are expressed as percentage signal change from baseline, where baseline is mean signal value averaged across the entire time series. There was a main effect of incentive amount (from 0 to 5 dollars) on activation during anticipation of both gains and losses in the left and right NAcc, where a main effect of valence among the incentive-laden trials indicated greater anticipatory activation by potential gains compared with losses in both VOI. There was a significant age group times incentive amount interaction effect on anticipatory activation in the gain trial series in the right NAcc, with significantly (*p < 0.05) lower signal increase while anticipating responding to win the large (5 dollars) gains in adolescents. In the mFC VOI, a significant valence by outcome interaction indicated that in gain trials (but not in loss-avoidance trials), notification of “hits” significantly increased signal relative to notification of “misses.” There were no significant main or interactive effects of age group on activation in the mFC VOI.
Figure 3.
Figure 3.
Age difference in gain anticipation activation. Voxel-wise t tests of age group differences in event-related regression coefficients were performed in regions of interest. Adolescents showed decreased gain anticipation activation compared with adults in the right ventral striatum. For illustrative purposes, maps were thresholded at p < 0.05 with exclusion of noncontiguous voxels and clusters <1000 μl. The group difference map depicts this activation deficit in adolescents, where voxel-wise group differences are graded on the basis of uncorrected p values, and the groups differ at a Bonferroni-corrected p < 0.05 in voxels centered at 9, 17, and -2.
Figure 4.
Figure 4.
Affective ratings and age independently correlate with gain-anticipatory activation in the right nucleus accumbens. Using multiple regression, activation in the right nucleus accumbens while subjects anticipated the opportunity to respond for large (5 dollars) gains was independently correlated with age and mean-deviated excitement ratings when seeing anticipatory cues signaling the availability to respond for the large gains. There were nearly identical independent correlations between anticipatory activation and the subject's age (while controlling for self-reported excitement; β = 0.452; p = 0.014; A) as well as between anticipatory activation and self-reported excitement (while controlling for age; β = 0.452; p = 0.014; B). These partial correlations are graphically represented here as leverage plots.

References

    1. Achenbach TM (1991) Manual for the child behavior checklist/4-18 and 1991 profile. Burlington, VT: University of Vermont.
    1. Andersen SL, Gazzara RA (1993) The ontogeny of apomorphine-induced alterations of neostriatal dopamine release: effects on spontaneous release. J Neurochem 61: 2247-2255. - PubMed
    1. Arnett J (1992) Reckless behavior in adolescence: a developmental perspective. Dev Rev 12: 391-409.
    1. Bechara A, Damasio H (2002) Decision-making and addiction (part I): impaired activation of somatic states in substance dependent individuals when pondering decisions with negative future consequences. Neuropsychologia 40: 1675-1689. - PubMed
    1. Blum K, Braverman ER, Holder JM, Lubar JF, Monastra VJ, Miller D, Lubar JO, Chen TJ, Comings DE (2000) Reward deficiency syndrome: a biogenetic model for the diagnosis and treatment of impulsive, addictive, and compulsive behaviors. J Psychoactive Drugs 32[Suppl i-iv]: 1-112. - PubMed

Publication types

MeSH terms

LinkOut - more resources