Parasitic mycelial forms of coccidioides species in Mexican patients
- PMID: 15004084
- PMCID: PMC356848
- DOI: 10.1128/JCM.42.3.1247-1249.2003
Parasitic mycelial forms of coccidioides species in Mexican patients
Abstract
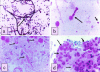
Of 26 cases of coccidioidomycosis reported here, 15 showed hyphae, atypical parasitic structures of Coccidioides spp. in fresh cytologic and/or histologic specimen preparations. The finding of this morphology could have implications which should be considered, especially when the disease affects areas of nonendemicity.
Figures

References
-
- Cairns, L., D. Blythe, A. Kao, D. Pappagianis, L. Kaufman, J. Kobayashi, and R. Hajjeh. 2000. Outbreak of coccidioidomycosis in Washington state residents returning from Mexico. Clin. Infect. Dis. 30:61-64. - PubMed
-
- Fisher, M. C., G. L. Koenig, T. J. White, and J. W. Taylor. 2002. Molecular and phenotypic description of Coccidioides posadasii sp. nov., previously recognized as the non-California population of Coccidioides immitis. Mycology 94:73-84. - PubMed
-
- Frías-Salcedo, J. A., R. Pérez-López, and M. A. Padilla-González. 2001. Coccidioidomicosis miliar en inmunocomprometidos. Rev. Sanid. Milit. Mex. 55:174-177.
-
- Johnson, P. C., and G. A. Sarosi. 1995. The endemic mycoses: surgical considerations. Semin. Thorac. Cardiovasc. Surg. 7:95-103. - PubMed
-
- Marvisi, M., G. Marani, M. Brianti, and R. Della Porta. 1996. Pulmonary complications in diabetes mellitus. Recenti Prog. Med. 87:623-627. - PubMed
MeSH terms
LinkOut - more resources
Full Text Sources
Medical
Miscellaneous