Skip to main page content
U.S. flag

An official website of the United States government

Dot gov

The .gov means it’s official.
Federal government websites often end in .gov or .mil. Before sharing sensitive information, make sure you’re on a federal government site.

Https

The site is secure.
The https:// ensures that you are connecting to the official website and that any information you provide is encrypted and transmitted securely.

Access keys NCBI Homepage MyNCBI Homepage Main Content Main Navigation
Case Reports
. 2004 Mar;25(3):428-30.

A small pulmonary arteriovenous malformation as a cause of recurrent brain embolism

Affiliations
Case Reports

A small pulmonary arteriovenous malformation as a cause of recurrent brain embolism

Kenichi Todo et al. AJNR Am J Neuroradiol. 2004 Mar.

Abstract

We report a case of recurrent paradoxical brain embolism mediated through a small pulmonary arteriovenous malformation (PAVM) with a 1.8-mm-diameter feeding artery. In this case, the further recurrent stroke was prevented successfully by PAVM embolization. Although embolization therapy is currently recommended only for PAVMs with feeding arteries greater than 3 mm in diameter, the therapy may be needed also in the smaller PAVMs.

PubMed Disclaimer

Figures

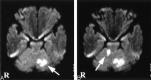
F<sc>ig</sc> 1.
Fig 1.
Diffusion-weighted MR images. A, Diffusion-weighted image on day 1 shows a high-signal-intensity area in the left cerebellar hemisphere (arrow). B, Diffusion-weighted image on day 5 shows a new ischemic lesion in the right cerebellar hemisphere (arrow).
F<sc>ig</sc> 2.
Fig 2.
C-TCD findings before and after the embolization therapy. A, C-TCD shows many HITS (arrows) from the basilar artery before the embolization therapy. B, C-TCD failed to depict any HITS after the embolization therapy.
F<sc>ig</sc> 3.
Fig 3.
Selective pulmonary angiogram shows a single PAVM with a feeding artery diameter of 1.8 mm.

References

    1. Moussouttas M, Fayad P, Rosenblatt M, et al. Pulmonary arteriovenous malformations: cerebral ischemia and neurologic manifestations. Neurology 2000;55:959–964 - PubMed
    1. Shovlin CL, Letarte M. Hereditary hemorrhagic telangiectasia and pulmonary arteriovenous malformations: issues in clinical management and review of pathogenic mechanisms. Thorax 1999;54:714–729 - PMC - PubMed
    1. Hughes JM. Intrapulmonary shunts: coils to transplantation. J R Coll Phys 1994;28:247–253 - PMC - PubMed
    1. Haitjema TJ, Overtoom TT, Westermann CJ, Lammers JW. Embolisation of pulmonary arteriovenous malformations: results and follow-up in 32 patients. Thorax 1995;50:719–723 - PMC - PubMed
    1. White RI, Pollack JS. Pulmonary arteriovenous malformations: diagnosis by three-dimensional helical CT, a breakthrough without contrast media. Radiology 1994;191:613–614 - PubMed

Publication types

MeSH terms