Responsiveness to a pandemic alert: use of reverse genetics for rapid development of influenza vaccines
- PMID: 15064027
- PMCID: PMC7112480
- DOI: 10.1016/S0140-6736(04)15892-3
Responsiveness to a pandemic alert: use of reverse genetics for rapid development of influenza vaccines
Abstract
Background: In response to the emergence of severe infection capable of rapid global spread, WHO will issue a pandemic alert. Such alerts are rare; however, on Feb 19, 2003, a pandemic alert was issued in response to human infections caused by an avian H5N1 influenza virus, A/Hong Kong/213/03. H5N1 had been noted once before in human beings in 1997 and killed a third (6/18) of infected people. The 2003 variant seemed to have been transmitted directly from birds to human beings and caused fatal pneumonia in one of two infected individuals. Candidate vaccines were sought, but no avirulent viruses antigenically similar to the pathogen were available, and the isolate killed embryonated chicken eggs. Since traditional strategies of vaccine production were not viable, we sought to produce a candidate reference virus using reverse genetics.
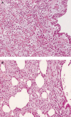
Methods: We removed the polybasic aminoacids that are associated with high virulence from the haemagglutinin cleavage site of A/Hong Kong/213/03 using influenza reverse genetics techniques. A reference vaccine virus was then produced on an A/Puerto Rico/8/34 (PR8) backbone on WHO-approved Vero cells. We assessed this reference virus for pathogenicity in in-vivo and in-vitro assays.
Findings: A reference vaccine virus was produced in Good Manufacturing Practice (GMP)-grade facilities in less than 4 weeks from the time of virus isolation. This virus proved to be non-pathogenic in chickens and ferrets and was shown to be stable after multiple passages in embryonated chicken eggs.
Interpretation: The ability to produce a candidate reference virus in such a short period of time sets a new standard for rapid response to emerging infectious disease threats and clearly shows the usefulness of reverse genetics for influenza vaccine development. The same technologies and procedures are currently being used to create reference vaccine viruses against the 2004 H5N1 viruses circulating in Asia.
Figures



References
-
- Subbarao K, Klimov A, Katz J. Characterization of an avian influenza A (H5N1) virus isolated from a child with a fatal respiratory illness. Science. 1998;279:393–396. - PubMed
-
- Shortridge KF, Zhou NN, Guan Y. Characterization of avian H5N1 influenza viruses from poultry in Hong Kong. Virology. 1998;252:331–342. - PubMed
-
- Shortridge KF, Gao P, Guan Y. Interspecies transmission of influenza viruses: H5N1 virus and a Hong Kong SAR perspective. VetMicrobiol. 2000;74:141–147. - PubMed
Publication types
MeSH terms
Substances
Grants and funding
LinkOut - more resources
Full Text Sources
Other Literature Sources
Medical