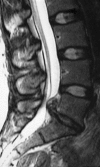
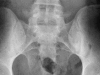
Low back pain
- PMID: 15130982
- PMCID: PMC406328
- DOI: 10.1136/bmj.328.7448.1119
Low back pain
Figures





Comment in
-
Low back pain: sacroiliac joint pain may be myth.BMJ. 2004 Jul 24;329(7459):232; author reply 232. doi: 10.1136/bmj.329.7459.232. BMJ. 2004. PMID: 15271844 Free PMC article. No abstract available.
Publication types
MeSH terms
LinkOut - more resources
Full Text Sources