Skip to main page content
U.S. flag

An official website of the United States government

Dot gov

The .gov means it’s official.
Federal government websites often end in .gov or .mil. Before sharing sensitive information, make sure you’re on a federal government site.

Https

The site is secure.
The https:// ensures that you are connecting to the official website and that any information you provide is encrypted and transmitted securely.

Access keys NCBI Homepage MyNCBI Homepage Main Content Main Navigation
. 2004 Jul;24(14):6379-92.
doi: 10.1128/MCB.24.14.6379-6392.2004.

The fission yeast Nup107-120 complex functionally interacts with the small GTPase Ran/Spi1 and is required for mRNA export, nuclear pore distribution, and proper cell division

Affiliations

The fission yeast Nup107-120 complex functionally interacts with the small GTPase Ran/Spi1 and is required for mRNA export, nuclear pore distribution, and proper cell division

Siau Wei Baï et al. Mol Cell Biol. 2004 Jul.

Abstract

We have characterized Schizosaccharomyces pombe open reading frames encoding potential orthologues of constituents of the evolutionarily conserved Saccharomyces cerevisiae Nup84 vertebrate Nup107-160 nuclear pore subcomplex, namely Nup133a, Nup133b, Nup120, Nup107, Nup85, and Seh1. In spite of rather weak sequence conservation, in vivo analyses demonstrated that these S. pombe proteins are localized at the nuclear envelope. Biochemical data confirmed the organization of these nucleoporins within conserved complexes. Although examination of the S. cerevisiae and S. pombe deletion mutants revealed different viability phenotypes, functional studies indicated that the involvement of this complex in nuclear pore distribution and mRNA export has been conserved between these highly divergent yeasts. Unexpectedly, microscopic analyses of some of the S. pombe mutants revealed cell division defects at the restrictive temperature (abnormal septa and mitotic spindles and chromosome missegregation) that were reminiscent of defects occurring in several S. pombe GTPase Ran (Ran(Sp))/Spi1 cycle mutants. Furthermore, deletion of nup120 moderately altered the nuclear location of Ran(Sp)/Spi1, whereas overexpression of a nonfunctional Ran(Sp)/Spi1-GFP allele was specifically toxic in the Deltanup120 and Deltanup133b mutant strains, indicating a functional and genetic link between constituents of the S. pombe Nup107-120 complex and of the Ran(Sp)/Spi1 pathway.

PubMed Disclaimer

Figures

FIG. 1.
FIG. 1.
In vivo localization of GFP-tagged Nup107, Nup85, Seh1, Nup120, Nup133a, and Nup133b in S. pombe. Nup107-GFP, GFP-Nup85, and GFP-Seh1 strains were grown in YE5S medium. Δnup120, Δnup133a, and Δnup133b strains expressing GFP-Nup120, GFP-Nup133a and GFP-Nup133b fusion proteins, respectively, were first grown in appropriately supplemented EMM containing thiamine and then shifted overnight to EMM without thiamine. The distribution of the various GFP fusions was observed in live cells. All the fusion proteins localized to the nuclear periphery in a ring-like staining pattern characteristic of nucleoporins. Note that under these growth conditions, the level of the nucleoporins expressed under the control of the nmt1 promoter is similar to that of Nup107 expressed under the control of its own promoter. Bar, 10 μm.
FIG. 2.
FIG. 2.
The S. pombe Nup107-120 NPC subcomplex biochemically purifies as two distinct entities. (A) Western blot analysis of immunoprecipitation experiments performed on S. pombe whole-cell lysates using an anti-GFP antibody. S. pombe strains expressing an HA-Nup133a, -Nup133b, or -Nup120 fusion in a Δnup133a, Δnup133b, or Δnup120 background, respectively, and either no GFP fusion or a GFP-tagged nucleoporin (Nup107-GFP, GFP-Nup85, or GFP-Seh1) were grown at 30°C to log phase in supplemented liquid EMM in the presence of thiamine. Immunoprecipitation experiments were performed on these 12 different S. pombe whole-cell lysates using an anti-GFP antibody. Equivalent amounts of total protein extracts (T), depleted supernatants (S), and a 10-fold equivalent of the immune pellets (P) were analyzed by Western blotting using anti-GFP (a) or anti-HA (a′, b′, and c′) antibody. The results with the GFP antibody were similar in all experiments and are presented only for the strain expressing HA-Nup133a. Molecular mass markers are on the right in kilodaltons. (B) Silver staining of immunoprecipitates from control, GFP-SpNup85, GFP-Seh1, and Nup107-GFP cell extracts obtained with an anti-GFP antibody. The asterisks indicate the position of the GFP fusion in each lane. The dots indicate additional bands subsequently identified by mass spectrometry as Nup145-C (band 1) and Nup85 (band 2). (C) Schematic model of the Nup107-120 complex in S. pombe, based on the structural data obtained from S. cerevisiae (38).
FIG. 3.
FIG. 3.
Growth properties of mutant strains with disrupted Nup107-120 complex nucleoporin genes. (A) Tetrads from nup120+nup120, nup107+nup107, and nup85+nup85 heterozygous diploids were dissected and incubated on YE5S plates at 25°C for 5 days. Higher-magnification images of nup107+, Δnup107, nup85+, and Δnup85 colonies (boxed) are also shown (insets). (B) Serial dilutions of S. pombe cells carrying nup133a, nup133b, seh1, and nup120 deletions or a combined deletion of both nup133a and nup133b (ΔΔnup133a/b) were spotted onto YE5S plates containing phloxine-B at the indicated temperatures. wt, wild type.
FIG. 4.
FIG. 4.
Localization of GFP-tagged nucleoporins in Δnup133a, Δnup133b, and Δnup120 mutants reveals NPC aggregation and specific genetic interactions within the Nup107-120 complex. (A) In vivo localization of GFP-Nup85, Nup107-GFP, and GFP-Seh1 in Δnup133a and Δnup133b strains. The cells were grown at 30°C on YE5S plates. Bar, 5 μm. In contrast to Δnup133a cells, Δnup133b cells display a heterogeneous distribution of the GFP fusions, which is particularly pronounced in the case of Nup107-GFP. (B) Serial dilutions of wild-type (wt), Δnup133b, nup107-GFP, Δnup133b/nup107-GFP, and Δnup133a/nup107-GFP cells were spotted onto YE5S medium and grown for 4 days at 30°C or for 3 days at 36°C. The growth of Δnup133b/nup107-GFP cells carrying (+) a pREP3-HA-Nup133b, pREP3-HA-Nup133a, or pREP3-HA plasmid further indicates that the temperature-dependent growth defect of the Δnup133b/nup107-GFP mutant can be rescued by Nup133b, as well as Nup133a.
FIG. 5.
FIG. 5.
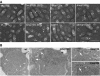
Alterations of NPC distribution in Δnup133b and Δnup120 cells. (A) In vivo distribution of GFP-Nsp1Sp expressed from the nmt1** (low-strength) promoter. Wild-type (wt), Δseh1, Δnup133a, nup133b, Δnup133anup133b, and Δnup120 cells expressing GFP-Nsp1Sp were grown on thiamine-free EMM plates at 25°C or, when indicated, incubated for 6 h at 36°C, and the localization of the fusion protein was examined in live cells. Representative deconvolved images are shown. The arrowheads point to NPC clusters. Bar, 10 μm. (B) Thin-section electron micrographs of wild-type and Δnup120 cells grown at semipermissive temperature (30°C). The small arrows point to NPCs. Nuclear pore clusters in the Δnup120 mutant are indicated by large arrows. N, nucleus; C, cytoplasm. Bar, 200 nm.
FIG. 6.
FIG. 6.
Mutations in the Nup107-120 complex cause mRNA export defect. (A) Rapid accumulation of poly(A)+ RNA in Δnup120 and Δnup133b/nup107-GFP mutants at restrictive temperature. Wild-type (wt), Δnup133b, Δnup120, and Δnup133b/nup107-GFP strains grown at 25°C or shifted to 36°C were fixed and subjected to in situ hybridization with a Cy3-labeled oligo(dT)50 probe. DNA was stained with DAPI. Bar, 10 μm. (B) Distribution of the pre-60S ribosomal particles in Nup107-120 complex mutants. Strains grown at 25°C or shifted to 36°C for 3 h were processed for FISH using a Cy3-labeled probe complementary to the 25S rRNA.
FIG. 7.
FIG. 7.
Δnup120 strain accumulates binucleated cells with abnormal septa and hypercondensed chromatin at 36°C. (A) Samples from wild-type (wt) and Δnup120 cells grown at 25°C or shifted for 3 or 6 h to 36°C were fixed and stained with calcofluor or DAPI as indicated. The differential interference contrast (DIC) image of the DAPI-stained cells revealing the presence of the septum is also shown. The arrows indicate septated Δnup120 cells with condensed or unequally segregated chromosomes. The arrowheads point to nuclei with atypical DAPI staining patterns. Bar, 10 μm. (B) Samples from the same cultures were stained with propidium iodide and analyzed by FACS. The fluorescence (the DNA content on an arbitrary scale) and frequency (relative cell number) are plotted along the x and y axes, respectively. Relative fluorescences corresponding to 2C and 4C DNA contents are indicated. (C) The localization of the NLS-GFP-β-galactosidase fusion was monitored in living Δnup120 cells grown at 25°C or incubated for 3 h at 36°C. Bars, 10 μm.
FIG. 8.
FIG. 8.
Δnup120 cells display abnormal microtubule spindles and aberrant mitosis. Wild-type (wt) and Δnup120 cells grown asynchronously at 25°C or shifted to 36°C for 3 or 6 h were processed for immunofluorescence using the TAT1 antibody to visualize microtubules and DAPI to observe the DNA morphology. (A) The frequencies of the different stages of mitosis were determined according to the lengths of the mitotic spindles (panel C). An average of 40 mitoses were examined for each sample, and a χ2 procedure was applied for statistical analysis (wt/Δnup120 at 0 h and 36°C, P = not significant; wt/Δnup120 at 3 h and 36°C, P ≤ 0.001; wt/Δnup120 at 6 h and 36°C, P ≤ 0.001). Note that the increase in the early anaphase stage observed in Δnup120 cells after a 6-h shift to 36°C may reflect the accumulation of abnormal metaphases with aberrant spindle lengths. (B) The percentage of abnormal mitoses was also quantified. (C) Prometaphase (a), metaphase (b), and early (c) and late (d and d′) anaphase in Δnup120 cells grown at 25°C. (D) Examples of abnormal mitoses exhibited by Δnup120 cells shifted for 6 h to 36°C. Rows: a, misplaced nucleus or spindle; b, chromosome missegregation; c, lagging chromosomes; d, chromosomes unattached to the spindle; e, monopolar spindle; f, malformed mitotic spindle. For each example, images of DIC combined with DAPI (DIC+DAPI), DAPI, tubulin staining, and DAPI plus tubulin staining (merge) are shown. In row a, the medial plane of septation was visualized using anti-Mid1 immunostaining (arrowhead). Bar, 10 μm.
FIG. 9.
FIG. 9.
Hypersensitivity to TBZ and chromosome segregation defects in Δnup120 cells. (A) Deletion of nup120 induces hypersensitivity to the microtubule-destabilizing drug TBZ. Serial dilutions of wild-type (wt) and mutant cells were spotted on YE5S medium containing or lacking (−) TBZ (5 or 10 μg/ml) and incubated at 23°C. A TBZ-free plate was also incubated at 36°C. Note that the TBZ sensitivity of the Δnup120 cells is further enhanced in a Δmph1 background. (B) The presence of a minichromosome is toxic in Δnup120 haploid cells. Δnup120 strains complemented by the pUra-Nup120 plasmid and containing (+mc) or lacking (−mc) a minichromosome were spotted on supplemented EMM plates in the presence or absence of 5-FOA at 23°C. Δnup120 cells that carry both pUra-Nup120 and a minichromosome cannot grow on 5-FOA, indicating that the pUra-Nup120 plasmid cannot be easily lost by these cells. (C) Δnup120/wt heterozygous diploid cells undergo chromosome loss at 36°C. wt/wt h+/h+ ade6-M210/ade6-M216 (wt/wt) and Δnup120/wt h+/h+ ade6-M210/ade6-M216 (Δnup120/wt) diploids were plated on low-adenine yeast extract medium at 30 or 36°C. The percentage of pink [Ade] colonies that had lost one of the two ade6 alleles was determined. The average of four independent experiments is presented. The error bars represent standard deviations. (D) Unlike Nuf2-CFP, GFP-Nup85 is not detectable at kinetochores in metaphase-arrested cells. nuc2-663 cells with integrated copies of both GFP-Nup85 and Nuf2-CFP were arrested in metaphase by a 3-h shift to 36°C. Deconvolved images of two Z sections (0.6 μm apart) of a live cell are presented. The perinuclear labeling observed in the CFP channel is due to the bleedthrough of the GFP-Nup85 signal. The DIC image of the cell is also shown. Bar, 10 μm.
FIG. 10.
FIG. 10.
Localization of endogenous Spi1 and toxicity of Spi1-GFP in Nup107-120 complex nucleoporin mutants. (A) Δnup120 cells grown at 25°C or shifted for 4 h to 36°C were processed for immunofluorescence using affinity-purified anti-Spi1 antibody, mAb414 antibody to visualize the NPCs, and DAPI to visualize the DNA. Note that in the Δnup120 strain at both 25 and 36°C, the nuclear pores surround the DNA and Spi1 is predominantly but not exclusively localized to the nucleus. Despite the overall weaker Spi1 and mAb414 signals at 36°C, moderate changes in the intracellular distribution of Spi1 can be observed in Δnup120 cells shifted to the restrictive temperature. (B) Wild-type (lanes 1), Δnup133a (lanes 2), Δnup133b (lanes 3), and Δnup120 (lanes 4) cells expressing the Spi1-GFP fusion under the control of the nmt1* promoter were grown at 25°C in liquid EMM supplemented with thiamine (repressed [R] nmt1 promoter, R. 25°C) and shifted either for 24 h at 25°C to thiamine-free medium (induced [I] nmt1 promoter, I. 25°C) or for 4 h to 36°C in thiamine-containing medium (R. 36°C). Equivalent amounts of whole-cell lysates were analyzed by Western blotting using anti-Spi1 antibody. The same blot was reprobed with the mAb414 antibody that mainly recognized a protein most likely corresponding to Nsp1Sp (theoretical mass, 61 kDa; GeneDB database). Note that the levels of endogenous Spi1 are similar in wild-type (lanes 1) and Δnup120 (lanes 4) cells even when shifted to 36°C (R. 36°C), whereas the expression levels of Spi1-GFP and its degradation products (*) are lower in Δnup133b (lanes 3) and Δnup120 (lanes 4) strains grown at 25°C in thiamine-free liquid medium (I. 25°C). (C) Spi1-GFP expression is toxic in Δnup120 and Δnup133b mutant cells. Wild-type (wt), Δnup133a, Δnup133b, and Δnup120 cells expressing the Spi1-GFP fusion under the control of the nmt1* promoter were grown to mid-log phase in liquid EMM supplemented with thiamine. The cells were then either spotted onto EMM-plus-thiamine plates (repressed nmt1 promoter) or shifted for 24 h at 25°C to thiamine-free liquid medium and spotted on thiamine-free EMM (induced nmt1 promoter). The plates were incubated at 25, 30, or 36°C.

References

    1. Aitchison, J. D., G. Blobel, and M. P. Rout. 1995. Nup120: a yeast nucleoporin required for NPC distribution and mRNA export. J. Cell Biol. 131:1659-1675. - PMC - PubMed
    1. Allen, N. P. C., S. S. Patel, L. Huang, R. J. Chalkley, A. Burlingame, M. Lutzmann, E. C. Hurt, and M. Rexach. 2002. Deciphering networks of protein interactions at the nuclear pore complex. Mol. Cell. Proteomics 1:930-946. - PubMed
    1. Arnaoutov, A., and M. Dasso. 2003. The Ran GTPase regulates kinetochore function. Dev. Cell 5:99-111. - PubMed
    1. Azad, A. K., T. Ideue, Y. Ohshima, and T. Tani. 2003. A mutation in the gene involved in sister chromatid separation causes a defect in nuclear mRNA export in fission yeast. Biochem. Biophys. Res. Commun. 310:176-181. - PubMed
    1. Babu, J. R., K. B. Jeganathan, D. J. Baker, X. Wu, N. Kang-Decker, and J. M. Van Deursen. 2003. Rae1 is an essential mitotic checkpoint regulator that cooperates with Bub3 to prevent chromosome missegregation. J. Cell Biol. 160:341-353. - PMC - PubMed

Publication types

MeSH terms

Substances