Skip to main page content
U.S. flag

An official website of the United States government

Dot gov

The .gov means it’s official.
Federal government websites often end in .gov or .mil. Before sharing sensitive information, make sure you’re on a federal government site.

Https

The site is secure.
The https:// ensures that you are connecting to the official website and that any information you provide is encrypted and transmitted securely.

Access keys NCBI Homepage MyNCBI Homepage Main Content Main Navigation
Comparative Study
. 2004 Jul 14;24(28):6392-401.
doi: 10.1523/JNEUROSCI.1297-04.2004.

The amygdala is enlarged in children but not adolescents with autism; the hippocampus is enlarged at all ages

Affiliations
Comparative Study

The amygdala is enlarged in children but not adolescents with autism; the hippocampus is enlarged at all ages

Cynthia Mills Schumann et al. J Neurosci. .

Abstract

Autism is a neurodevelopmental disorder characterized by impairments in reciprocal social interaction, deficits in verbal and nonverbal communication, and a restricted repertoire of activities or interests. We performed a magnetic resonance imaging study to better define the neuropathology of autistic spectrum disorders. Here we report findings on the amygdala and the hippocampal formation. Borders of the amygdala, hippocampus, and cerebrum were defined, and their volumes were measured in male children (7.5-18.5 years of age) in four diagnostic groups: autism with mental retardation, autism without mental retardation, Asperger syndrome, and age-matched typically developing controls. Although there were no differences between groups in terms of total cerebral volume, children with autism (7.5-12.5 years of age) had larger right and left amygdala volumes than control children. There were no differences in amygdala volume between the adolescent groups (12.75-18.5 years of age). Interestingly, the amygdala in typically developing children increases substantially in volume from 7.5 to 18.5 years of age. Thus, the amygdala in children with autism is initially larger, but does not undergo the age-related increase observed in typically developing children. Children with autism, with and without mental retardation, also had a larger right hippocampal volume than typically developing controls, even after controlling for total cerebral volume. Children with autism but without mental retardation also had a larger left hippocampal volume relative to controls. These cross-sectional findings indicate an abnormal program of early amygdala development in autism and an abnormal pattern of hippocampal development that persists through adolescence. The cause of amygdala and hippocampal abnormalities in autism is currently unknown.

PubMed Disclaimer

Figures

Figure 1.
Figure 1.
Orthogonal views for segmenting the amygdala and hippocampus on MRI sections. A three-dimensional reconstruction of images (a) in which lines indicate the position of the horizontal plane (b), sagittal plane (c), and coronal plane (d) is shown. The arrow in b indicates the best-fit line along the white matter separating the amygdala from the putamen; the arrow in c represents the white matter that forms the ventral border of the rostral amygdala. A, Amygdala; EC, entorhinal cortex; H, hippocampus; PU, putamen; TLV, temporal horn of the lateral ventricle; WM, subamygdaloid white matter.
Figure 2.
Figure 2.
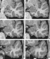
Series of coronal images arranged from caudal (a) to rostral (f), indicating boundaries of the amygdala. A, Amygdala; AC, anterior commissure; H, hippocampus; EC, entorhinal cortex; EXC, external capsule; MS, medial surface of the brain; OT, optic tract; PU, putamen; SAS, semiannular sulcus; SI, substantia innominata; VC, ventral claustrum; WM, subamygdaloid white matter.
Figure 3.
Figure 3.
Series of coronal images arranged from caudal (a) to rostral (f), indicating boundaries of the hippocampus. A, amygdala; EC, entorhinal cortex; F, fornix; H, hippocampus; LV, Lateral ventricle; MS, medial surface of the brain; RSC, retrosplenial cortex; SAS, semiannular sulcus; T, pulvinar of the thalamus; TLV, temporal horn of the lateral ventricle.
Figure 4.
Figure 4.
Total cerebral volume (in cubic centimeters) for subjects 7.5-18.5 years of age by diagnostic group.
Figure 5.
Figure 5.
Absolute left (a) and right (b) hippocampal volume (in cubic centimeters) by diagnostic group for subjects 7.5-18.5 years of age (*p < 0.05; **p < 0.01).
Figure 6.
Figure 6.
Linear regression scatterplot for absolute amygdala volume (in cubic centimeters) by age. Typically developing subjects show a positive correlation (*p < 0.05) of age with amygdala volume for both the left amygdala [a; CON, r2 = 0.59] and right amygdala [b; CON, r2 = 0.45]. Amygdala volume in participants with autism was not correlated with age. c, Left amygdala: LFA, r2 = 0.05; HFA, r2 = 0.10; ASP, r2 = 0.04. d, Right amygdala: LFA, r2 = 0.02; HFA, r2 = 0.05; ASP, r2 = 0.10.
Figure 7.
Figure 7.
Absolute left (a) and right (b) amygdala volume (in cubic centimeters) by diagnostic group for subjects 7.5-12.5 years of age (*p < 0.05; **p < 0.01).
Figure 8.
Figure 8.
Absolute left (a) and right (b) amygdala volume (in cubic centimeters) by diagnostic group for subjects 12.75-18.5 years of age.

References

    1. Abell F, Krams M, Ashburner J, Passingham R, Friston K, Frackowiak R, Happe F, Frith C, Frith U (1999) The neuroanatomy of autism: a voxel-based whole brain analysis of structural scans. NeuroReport 10: 1647-1651. - PubMed
    1. Adolphs R (2002) Neural systems for recognizing emotion. Curr Opin Neurobiol 12: 169-177. - PubMed
    1. Adolphs R, Tranel D, Damasio H, Damasio A (1994) Impaired recognition of emotion in facial expressions following bilateral damage to the human amygdala. Nature 372: 669-672. - PubMed
    1. Adolphs R, Tranel D, Damasio H, Damasio AR (1995) Fear and the human amygdala. J Neurosci 15: 5879-5891. - PMC - PubMed
    1. Adolphs R, Tranel D, Damasio AR (1998) The human amygdala in social judgment. Nature 393: 470-474. - PubMed

Publication types

LinkOut - more resources