Skip to main page content
U.S. flag

An official website of the United States government

Dot gov

The .gov means it’s official.
Federal government websites often end in .gov or .mil. Before sharing sensitive information, make sure you’re on a federal government site.

Https

The site is secure.
The https:// ensures that you are connecting to the official website and that any information you provide is encrypted and transmitted securely.

Access keys NCBI Homepage MyNCBI Homepage Main Content Main Navigation
Clinical Trial
. 2004 Sep;25(8):1310-7.

Diffusion-weighted imaging in the assessment of brain abscesses therapy

Affiliations
Clinical Trial

Diffusion-weighted imaging in the assessment of brain abscesses therapy

Fabiola W Cartes-Zumelzu et al. AJNR Am J Neuroradiol. 2004 Sep.

Abstract

Background and purpose: Surgically or conservatively treated brain abscesses may resolve, or pus may re-accumulate, requiring further intervention or treatment change. We hypothesized that diffusion-weighted (DW) imaging is useful in depicting features of abscesses related to therapeutic success or failure.

Methods: Conventional contrast-enhanced T1- and T2-weighted imaging and DW imaging were performed in seven patients (aged 30-69 years) with proved pyogenic brain abscesses. The center of the abscess was qualitatively and quantitatively analyzed at initial and follow-up imaging in all patients. We correlated the signal intensity on trace DW images and the apparent diffusion coefficients (ADCs) with the clinical and laboratory data, particularly with respect to treatment failure and repeat therapy.

Results: Surgical drainage was performed in six patients; one patient was treated with only antibiotics. All abscess cavities initially had high signal intensity (restricted diffusion) on DW images, with a mean ADC value of 0.52 x 10 (-3)mm (2)/s. Low signal intensity at DW imaging with high ADC were seen on follow-up images in the patient receiving medication and in four patients in whom the abscesses were drained; this correlated with a good therapeutic response. Two patients underwent drainage; their second follow-up DW images showed areas of high signal intensity and low ADC values suggesting re-accumulation of pus. Increased C-reactive protein level and WBC count correlated well with DW image findings.

Conclusion: DW imaging was superior to conventional MR imaging in evaluating the success or failure of abscess therapy. Restricted diffusion in a drained abscess corresponded to pus.

PubMed Disclaimer

Figures

F<sc>ig</sc> 1.
Fig 1.
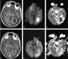
Patient 1. A 40-year-old man with mild ataxia and homonymous hemianopia. CRP level was initially 0.5 mg/dL and did not change in the clinical course. WBC count was mildly increased initially and decreased soon after surgical drainage. DW images were well correlated with conventional MR images, showing no re-accumulation of pus. A, Axial contrast-enhanced T1-weighted image shows a ring-enhancing lesion in the left occipital region, with perifocal edema. B and C, Trace DW images show a hyperintense lesion and a low ADC indicating restricted diffusion. Clinical and imaging findings were consistent with brain abscess. D–F, Four days after surgical drainage, contrast-enhanced T1-weighted image (D) shows that the lesion is diminished, with predominantly low signal intensity on a DW image (E) and a high ADC on ADC map (F); these finding suggest clear fluid in the abscess cavity.
F<sc>ig</sc> 2.
Fig 2.
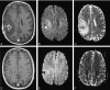
Patient 1. Additional images. A–C, Follow-up images obtained 9 days later (2 weeks after drainage) show further decrease in the size of the abscess (A), persistence of low signal intensity on DW imaging (B), and a high ADC (C). D-F, Last DW images (E) (1 month after drainage) show no enhancement and no abnormality.
F<sc>ig</sc> 3.
Fig 3.
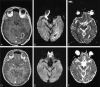
Patient 2. A 31-year-old man with fever, seizures, and weakness of the left upper extremity. DW images were superior to conventional MR images showing re-accumulation of pus and well correlated with increased CRP levels and WBC counts. A–C, Axial contrast-enhanced T1-weighted shows a peripheral enhancing lesion with a hypointense center in the right parietal region. Hyperintensity at DW imaging (B) and a low ADC (C) suggest abscess formation with restricted diffusion due to pus. D–F, One day after surgery, images show decreased size of the abscess (D), hypointensity at DW imaging (E), and a high ADC of 2.56 × 10 −3mm 2/s (F).
F<sc>ig</sc> 4.
Fig 4.
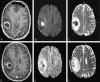
Patient 2. Additional MR images. A–C, Follow-up image (A) obtained 15 days after surgical intervention shows reduced size of the abscess cavity. Corresponding DW image (B) shows hyperintensity in the abscess cavity with a decreased ADC to 0.76 × 10 −3mm 2/s (C), indicating reappearance of pus. Second drainage was performed 1 day later. D–F, Forty days after second intervention, follow-up images show resolution of the abscess cavity, with residual hypointensity on contrast-enhanced T1-weighted image and no abnormality on DW images.

Comment in

References

    1. Falcone S, Post MJ. Encephalitis, cerebritis, and brain abscess: pathophysiology and imaging findings. Neuroimaging Clin N Am 2000;10:333–353 - PubMed
    1. Stadnik TW, Chaskis C, Michotte A, et al. Diffusion-weighted MR-Imaging of intracerebral masses: comparison with conventional MR-imaging and histologic findings. AJNR Am J Neuroradiol 2001;22:969–976 - PMC - PubMed
    1. Guo AC, Provenzale JM, Cruz LCH, et al. Cerebral abscesses: investigation using apparent diffusion coefficient maps. Neuroradiology 2001;43 ,370–374 - PubMed
    1. Kim YJ, Chang KH, Song IC, et al. Brain abscess and necrotic or cystic brain tumor: discrimination with signal intensity on diffusion weighted MR imaging. AJR Am J Roentgenol 1998;171:1487–1490 - PubMed
    1. Stadnik TW, Demaerel P, Luypaert RR, et al. Imaging tutorial: differential diagnosis of bright lesions on diffusion-weighted MR images. Radiographics 2003;23:7 ; Erratum in: Radiographics 2003;23:686 - PubMed

Publication types