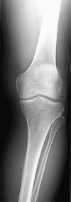
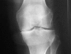
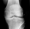
The orthopaedic approach to managing osteoarthritis of the knee
- PMID: 15550426
- PMCID: PMC529367
- DOI: 10.1136/bmj.329.7476.1220
The orthopaedic approach to managing osteoarthritis of the knee
Figures










Comment in
-
Computer assisted knee arthroplasty is here today.BMJ. 2005 Jan 22;330(7484):197. doi: 10.1136/bmj.330.7484.197-b. BMJ. 2005. PMID: 15661793 Free PMC article. No abstract available.
References
-
- Felson DT. Epidemiology of hip and knee osteoarthritis. Epidemiol Rev 1988;10: 1-28. - PubMed
-
- Dieppe P, Brandt K. What is important in treating osteoarthritis? Whom should we treat and when should we treat them? Rheum Dis Clin North Am 2003;29: 687-716. - PubMed
-
- Raynauld JP, Buckland-Wright C, Ward R, Choquette D, Haraoui B, Martel-Pelletier J, et al. Safety and efficacy of long-term intraarticular steroid injections in osteoarthritis of the knee: a randomized, double-blind, placebo-controlled trial. Arthritis Rheum 2003;48: 370-7. - PubMed
-
- Leopold SS, Redd BB, Warme WJ, Wehrle PA, Pettis PD, Shott S. Corticosteroid compared with hyaluronic acid injections for the treatment of osteoarthritis of the knee. A prospective, randomized trial. J Bone Joint Surg Am 2003;85-A: 1197-203. - PubMed
Publication types
MeSH terms
Substances
LinkOut - more resources
Full Text Sources
Other Literature Sources
Medical