CT fluoroscopy-guided epidural injections: technique and results
- PMID: 15569755
- PMCID: PMC8148733
CT fluoroscopy-guided epidural injections: technique and results
Erratum in
- AJNR Am J Neuroradiol. 2005 Jan;26(1):204
Abstract
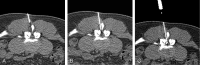
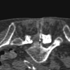
Lumbar epidural injections are typically performed blindly or with fluoroscopic guidance. CT fluoroscopy (CTF) can be used to guide needle placement precisely and rapidly, allowing visualization of the optimal needle path and identifying potential problems such as severe stenosis and synovial cysts before needle insertion. Operator and patient radiation dose is minimal when using the intermittent CTF technique and low mAs. By using this technique, just more than 2000 epidural steroid injections have been performed with no major complications. CTF is a useful guidance tool when performing lumbar epidural injections.
Figures




References
-
- White AH, Derby R, Wynne G. Epidural injections for the diagnosis and treatment of low back pain. Spine 1980;5:67–86 - PubMed
-
- Johnson BA. Image-guided epidural injections. Neuroimaging Clin N Am 2000;10:479–491 - PubMed
-
- Watanabe AT, Nishimura E, Garris J. Image-guided epidural steroid injections. Tech Vasc Interv Radiol 2002;5:186–193 - PubMed
-
- Paulson EK, Sheafor DH, Enterline DS, et al. CT fluoroscopy-guided interventional procedures: techniques and radiation dose to radiologists. Radiology 2001;220:161–167 - PubMed
MeSH terms
LinkOut - more resources
Full Text Sources
Medical