Cortical involvement in Marchiafava-Bignami disease
- PMID: 15760886
- PMCID: PMC7976492
Cortical involvement in Marchiafava-Bignami disease
Abstract
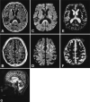
Marchiafava-Bignami disease (MBD), a rare complication of chronic alcoholism, is characterized by primary demyelination of the corpus callosum. We report two cases of MBD in which fluid-attenuated inversion recovery (FLAIR) and diffusion-weighted imaging studies revealed symmetrical hyperintense lesions in the cerebral cortex (particularly in the lateral-frontal regions) in addition to the callosal lesions, which suggests an association of diffuse cortical lesions such as Morel's laminar sclerosis with MBD.
Figures



References
-
- Koeppen AH, Barron KD. Marchiafava-Bignami disease. Neurology 1978;28:290–294 - PubMed
-
- Ruiz-Martínez J, Martínez Pérez-Balsa A, Ruibal M, et al. Marchiafava-Bignami disease with widespread extracallosal lesions and favourable course. Neuroradiology 1999;41:40–43 - PubMed
-
- Harper C, Butterworth R. Nutritional and metabolic disorders. In: Graham DI, Lantos PL, eds. Greenfield’s Neuropathology. 6th ed. London: Arnold,1997. :616–617
Publication types
MeSH terms
LinkOut - more resources
Full Text Sources
Medical