Expression of hypoxia-inducible factor 1alpha and vascular endothelial growth factor in hepatocellular carcinoma: Impact on neovascularization and survival
- PMID: 15786555
- PMCID: PMC4305959
- DOI: 10.3748/wjg.v11.i11.1705
Expression of hypoxia-inducible factor 1alpha and vascular endothelial growth factor in hepatocellular carcinoma: Impact on neovascularization and survival
Abstract
Aim: To study the expression of hypoxia-inducible factor 1alpha (HIF-1alpha) and vascular endothelial growth factor (VEGF) in hepatocellular carcinoma (HCC) and the impact on neovascularization and survival.
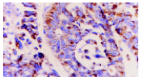
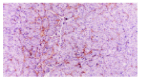
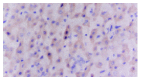
Methods: Expressions of HIF-1alpha, VEGF and microvessel density (MVD) are studied through immunohistochemistry in 36 cases of HCC and the corresponding paraneoplastic tissue and 6 cases of normal liver tissue. The relationship of the expressions of HIF-1alpha and VEGF with the clinicopathological data and survival are analyzed.
Results: The positive rate of VEGF in HCC was 32/36, which is significantly higher than that in paraneoplastic tissue and normal liver tissue (P<0.05). The expression of HIF-1alpha in HCC tissue is 24/36, also higher than that in paraneoplastic tissue and normal liver tissue (P<0.05). The expression of VEGF and HIF-1alpha in HCC with microscopic venous invasion is significantly higher than that in HCC without microscopic venous invasion (P<0.05). Spearman correlation analysis does not only show the expression of HIF-1alpha as correlated with the expression of VEGF (r(s) = 0.459, P<0.01), but it also shows the expression of HIF-1alpha and VEGF as correlated with MVD (r(s) = 0.412 and 0.336, respectively, P<0.05). The differences of the survival rates among VEGF positive group and VEGF negative group are significant (P<0.05), whereas the differences of the survival rates among the HIF-1alpha negative group and positive group are not significant (P>0.05).
Conclusion: HIF-1alpha plays important roles in neovascularization in HCC possibly through regulation of VEGF transcription.
Figures
References
-
- Shirabe K, Shimada M, Gion T, Hasegawa H, Takenaka K, Utsunomiya T, Sugimachi K. Postoperative liver failure after major hepatic resection for hepatocellular carcinoma in the modern era with special reference to remnant liver volume. J Am Coll Surg. 1999;188:304–309. - PubMed
-
- Carmeliet P, Jain RK. Angiogenesis in cancer and other diseases. Nature. 2000;407:249–257. - PubMed
-
- Yancopoulos GD, Davis S, Gale NW, Rudge JS, Wiegand SJ, Holash J. Vascular-specific growth factors and blood vessel formation. Nature. 2000;407:242–248. - PubMed
MeSH terms
Substances
LinkOut - more resources
Full Text Sources
Other Literature Sources
Medical
