Direct detection of Nocardia spp. in clinical samples by a rapid molecular method
- PMID: 15815019
- PMCID: PMC1081390
- DOI: 10.1128/JCM.43.4.1921-1924.2005
Direct detection of Nocardia spp. in clinical samples by a rapid molecular method
Abstract
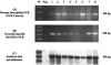
We developed a 16S PCR-based assay for the rapid detection of Nocardia spp. directly from human clinical samples. The applicability of the assay was confirmed by using 18 samples from patients with nocardiosis as diagnosed by conventional cultures and 20 clinical samples from patients with confirmed tuberculosis used as negative controls.
Figures


References
-
- Beaman, B. L. 1981. The possible role of L-phase variants of Nocardia in chronic infections. Zentbl. Bakteriol. Mikrobiol. Hyg. Abt. Suppl. 11:221-227.
-
- Beaman, B. L. 1982. Nocardiosis: role of the cell deficient state of Nocardia, p. 231-255. In G. J. Domingue (ed.), Cell wall defective bacteria: basic principles and clinical significance. Addison-Wesley Publishing Co., Inc., Reading, Mass.
-
- Beaman, B. L. 1984. The cell wall as a determinant of pathogenicity in Nocardia: the role of L-forms in pathogenesis, p. 89-104. In L. Ortiz-Ortiz, L. F. Bojalil, and V. Yakoleff (ed.), Biological, biochemical and biomedical aspects of actinomycetes. Academic Press, Orlando, Fla.
-
- Beaman, B. L., J. Burnside, B. Edwards, and W. Causey. 1976. Nocardial infections in the United States, 1972-1974. J. Infect. Dis. 134:286-289. - PubMed
-
- Beaman, B. L., M. A. Saubolle, and R. J. Wallace. 1995. Nocardia, Rhodococcus, Streptomyces, Oerskovia, and other aerobic actinomycetes of medical importance, p. 379-399. In P. R. Murray, E. J. Baron, M. A. Pfaller, F. C. Tenover, and R. H. Yolken (ed.), Manual of clinical microbiology, 6th ed. American Society for Microbiology, Washington, D.C.
Publication types
MeSH terms
Substances
LinkOut - more resources
Full Text Sources
Other Literature Sources
Miscellaneous