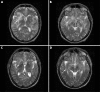
Cerebral vasculitis as a primary manifestation of systemic lupus erythematosus
- PMID: 15834061
- PMCID: PMC1755475
- DOI: 10.1136/ard.2004.026542
Cerebral vasculitis as a primary manifestation of systemic lupus erythematosus
Figures
Publication types
MeSH terms
Substances
LinkOut - more resources
Full Text Sources
