Skip to main page content
U.S. flag

An official website of the United States government

Dot gov

The .gov means it’s official.
Federal government websites often end in .gov or .mil. Before sharing sensitive information, make sure you’re on a federal government site.

Https

The site is secure.
The https:// ensures that you are connecting to the official website and that any information you provide is encrypted and transmitted securely.

Access keys NCBI Homepage MyNCBI Homepage Main Content Main Navigation
. 2005 May;11(5):699-701.
doi: 10.3201/eid1105.050007.

Probable tiger-to-tiger transmission of avian influenza H5N1

Affiliations

Probable tiger-to-tiger transmission of avian influenza H5N1

Roongroje Thanawongnuwech et al. Emerg Infect Dis. 2005 May.

Erratum in

  • Emerg Infect Dis. 2005 Jun;11(6):976

Abstract

During the second outbreak of avian influenza H5N1 in Thailand, probable horizontal transmission among tigers was demonstrated in the tiger zoo. Sequencing and phylogenetic analysis of those viruses showed no differences from the first isolate obtained in January 2004. This finding has implications for influenza virus epidemiology and pathogenicity in mammals.

PubMed Disclaimer

Figures

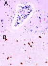
Figure 1
Figure 1
Histopathologic and immunohistochemical evidence of H5N1 virus in tiger: A) Mild multifocal nonsuppurative encephalitis; B) Influenza A virus antigen in nuclei and cytoplasm visible as brown staining.
Figure 2
Figure 2
Numbers of sick, dead, or euthanized tigers during the outbreak. The animals were fed cooked chicken carcasses or pork after October 16, 2004. Isolates from the sick tigers, pre- and posttreated with oseltamivir, were A/Tiger/Thailand/CU-T3/04 (October 18) and A/Tiger/Thailand/CU-T7/04 (October 24).

References

    1. Viseshakul N, Thanawongnuwech R, Amonsin A, Suradhat S, Payungporn S, Keawchareon J, et al. The genome sequence analysis of H5N1 avian influenza A virus isolated from the outbreak among poultry populations in Thailand. Virology. 2004;328:169–76. 10.1016/j.virol.2004.06.045 - DOI - PubMed
    1. Keawcharoen J, Oraveerakul K, Kuiken T, Fouchier RAM, Amonsin A, Payungporn S, et al. Avian influenza H5N1 in tigers and leopards. Emerg Infect Dis. 2004;10:2189–91. - PMC - PubMed
    1. Payungporn S, Phakdeewirot P, Chutinimitkul S, Theamboonlers A, Keawcharoen J, Oraveerakul K, et al. Single-step multiplex reverse transcription-polymerase chain reaction (RT-PCR) for influenza A virus subtype H5N1 detection. Viral Immunol. 2004;17:588–93. 10.1089/vim.2004.17.588 - DOI - PubMed
    1. Brooks MJ, Sasadeusz JJ, Tannock GA. Antiviral chemotherapeutic agents against respiratory viruses: where are we now and what's in the pipeline? Curr Opin Pulm Med. 2004;10:197–203. 10.1097/00063198-200405000-00009 - DOI - PubMed
    1. Shinya K, Hamm S, Hatta M, Ito H, Ito T, Kawaoka Y. PB2 amino acid at position 627 affects replicative efficacy, but not cell tropism, of Hong Kong H5N1 influenza A viruses in mice. Virology. 2004;320:258–66. 10.1016/j.virol.2003.11.030 - DOI - PubMed

Publication types

Associated data