Skip to main page content
U.S. flag

An official website of the United States government

Dot gov

The .gov means it’s official.
Federal government websites often end in .gov or .mil. Before sharing sensitive information, make sure you’re on a federal government site.

Https

The site is secure.
The https:// ensures that you are connecting to the official website and that any information you provide is encrypted and transmitted securely.

Access keys NCBI Homepage MyNCBI Homepage Main Content Main Navigation
Randomized Controlled Trial
. 2005 May;26(5):996-1000.

Intraforaminal O(2)-O(3) versus periradicular steroidal infiltrations in lower back pain: randomized controlled study

Affiliations
Randomized Controlled Trial

Intraforaminal O(2)-O(3) versus periradicular steroidal infiltrations in lower back pain: randomized controlled study

Matteo Bonetti et al. AJNR Am J Neuroradiol. 2005 May.

Abstract

Background and purpose: Reports about steroids and oxygen-ozone therapy to treat lower back pain have been increasing. The purpose of our study was to compare the clinical outcomes in patients treated with infiltrations of O(2)-O(3) gas or steroids at short-, medium-, and long-term follow-up.

Methods: A total of 306 patients (166 with primarily disk disease, 140 with nondisk vertebral disease) with acute or chronic low back and sciatic nerve pain received a CT-guided intraforaminal infiltration of an O(2)-O(3) gas mixture or an periradicular infiltration of steroids. Neurologists unaware of the type of treatment assessed the patients.

Results: At 1-week follow-up, most patients had a complete remission of pain, regardless of the treatment. At 6-month follow-up, differences in favor of O(2)-O(3) treatment were significant in patients with disk disease (P = .0021) but not in those without disk disease (P = .0992). Clinical outcomes were poor in 13 (15.1%) of 86 patients receiving O(2)-O(3) infiltration and in 18 (22.5%) of 80 patients receiving steroid injection (P = .2226). Among patients without disk disease, six (8.6%) of 70 patients receiving O(2)-O(3) infiltration but 21.4% of the patients receiving steroid injections had poor outcomes (P = .0332).

Conclusion: Oxygen-ozone treatment was highly effective in relieving acute and chronic lower back pain and sciatica. The gas mixture can be administered as a first treatment to replace epidural steroids.

PubMed Disclaimer

Figures

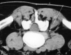
F<sc>ig</sc> 1.
Fig 1.
Preliminary CT measurements, periganglionic approach.
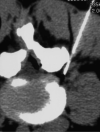
F<sc>ig</sc> 2.
Fig 2.
Infiltration of the gas mixture. A, L4-L5 right intraextraforaminal disk herniation (arrows). B, Correct positioning of the needle. C, Distribution of the gas mixture in the herniation (arrowheads) and in the facet joint (arrows).
F<sc>ig</sc> 3.
Fig 3.
After intraforaminal infiltration, the gas mixture is distributed between the posterior longitudinal ligament and the dural sheath.
F<sc>ig</sc> 4.
Fig 4.
Infiltration of the gas mixture. A, Preliminary CT measurements of L4-L5 disk herniation on the left side. B, Correct positioning of the needle. C, Distribution of the gas mixture.

Comment in

References

    1. Czervionke LF. Lumbar intervertebral disc disease. Neuroimag Clin North Am 1993;3:465–485
    1. Davis RA. A long-term outcome analysis of 984 surgically treated herniated lumbar discs. J Neurosurg 1994;80:415–421 - PubMed
    1. Iliakis E. Ozone treatment in low back pain. Orthopaedics 1995;1:29–33
    1. Andreula CF, Simonetti L, De Santis F, et al. Minimally invasive oxygen-ozone therapy for lumbar disk herniation. AJNR Am J Neuroradiol 2003;24:996–1000 - PMC - PubMed
    1. Andreula CF. Ernie discali lombosacrali e patologia degenerativa correlate: trattamento interventistico spinale con chemiodiscolisi con nucleoptesi con O3 e infiltrazione periradicolare e periganglionare. Rivista di Neuroradiologia 2001;14:81–88

Publication types