Activation of the MAPK pathway is a common event in uveal melanomas although it rarely occurs through mutation of BRAF or RAS
- PMID: 15928660
- PMCID: PMC2361800
- DOI: 10.1038/sj.bjc.6602598
Activation of the MAPK pathway is a common event in uveal melanomas although it rarely occurs through mutation of BRAF or RAS
Abstract
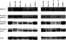
In contrast to cutaneous melanoma, there is no evidence that BRAF mutations are involved in the activation of the mitogen-activated protein kinase (MAPK) pathway in uveal melanoma, although there is increasing evidence that this pathway is activated frequently in the latter tumours. In this study, we performed mutation analysis of the RAS and BRAF genes in a panel of 11 uveal melanoma cell lines and 19 primary uveal melanoma tumours. In addition, Western blot and immunohistochemical analyses were performed on downstream members of the MAPK pathway in order to assess the contribution of each of these components. No mutations were found in any of the three RAS gene family members and only one cell line carried a BRAF mutation (V599E). Despite this, mitogen-activated protein kinase/extracellular signal-regulated kinase kinase (MEK), ERK and ELK were constitutively activated in all samples. These data suggest that activation of the MAPK pathway is commonly involved in the development of uveal melanoma, but occurs through a mechanism different to that of cutaneous melanoma.
Figures


References
-
- Alsina J, Gorsk DH, Germino FJ, Shih W, Lu SE, Zhang ZG, Yang JM, Hait WN, Goydos JS (2003) Detection of mutations in the mitogen-activated protein kinase pathway in human melanoma. Clin Cancer Res 9: 6419–6425 - PubMed
-
- Brose MS, Volpe P, Feldman M, Kumar M, Rishi I, Gerrero R, Einhorn E, Herlyn M, Minna J, Nicholson A, Roth JA, Albelda SM, Davies H, Cox C, Brignell G, Stephens P, Futreal PA, Wooster R, Stratton MR, Weber BL (2002) BRAF and RAS mutations in human lung cancer and melanoma. Cancer Res 62: 6997–7000 - PubMed
-
- Calipel A, Lefevre G, Pouponnot C, Mouriaux F, Eychene A, Mascarelli F (2003) Mutation of B-Raf in human choroidal melanoma cells mediates cell proliferation and transformation through the MEK/ERK pathway. J Biol Chem 278: 42409–42418, doi:10.1074/jbcM308709200 - PubMed
-
- Cohen Y, Goldenberg-Cohen N, Parrella P, Chowers I, Merbs SL, Pe’er J, Sidransky D (2003) Lack of BRAF mutation in primary uveal melanoma. Invest Ophthalmol Vis Sci 44: 2876–2878, doi:10.1167/iovs.02-1329 - PubMed
-
- Cohen Y, Rosenbaum E, Begum S, Goldenberg D, Esche C, Lavie O, Sidransky D, Westra WH (2004) Exon 15 BRAF mutations are uncommon in melanomas arising in nonsun-exposed sites. Clin Cancer Res 10: 3444–3447 - PubMed
Publication types
MeSH terms
Substances
LinkOut - more resources
Full Text Sources
Other Literature Sources
Medical
Research Materials
Miscellaneous