Schistosomiasis--an unusual cause of ureteral obstruction: a case history and perspective
- PMID: 15931361
- PMCID: PMC1069097
- DOI: 10.3121/cmr.2.4.216
Schistosomiasis--an unusual cause of ureteral obstruction: a case history and perspective
Abstract
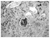
A male, 32 years of age, presented with dysuria and abdominal pain, but no gross hematuria. He emigrated three years earlier from Somalia, East Africa, and was currently employed as a poultry processor in a rural Wisconsin community. The patient denied any trauma, sexual activity, or family history of significant illness. Abdominal and genitourinary exams were normal with negative tests for gonococcus and chlamydia. Urinalysis demonstrated microhematuria. A urogram and retrograde pyelogram revealed a mildly dilated right ureter down to the ureterovesical junction. Cystoscopy showed punctate white lesions on the bladder urothelium. Ureteroscopy was used to biopsy abnormal tissue in the distal ureter and bladder. Biopsy tissue demonstrated deposits of Schistosoma haematobium eggs. No ova were seen in collected urine specimens. The patient was successfully treated with praziquantel and will be monitored for sequelae of the disease. Schistosomiasis (Bilharziasis) can be expected to be seen with increasing frequency in the United States with the continuing influx of immigrants and refugees, as well as the return of travelers and soldiers from endemic areas. While no intermediate snail host exists for the transmission of Schistosoma sp. in the United States, the continued importation of exotic animals including snails from Africa, as well as the ability of schistosomes to shift host species warrants concern. Additionally, increasing disease associated with non-human bird schistosomes of the same genus seen in the midwestern United States is occurring throughout Europe. One should be aware that praziquantel may not always be available or effective in the treatment of schistosomiasis. It behooves the practicing clinician to remain updated on the status of this widespread zoonosis.
Figures
 
              
              
              
              
                
                
                 
              
              
              
              
                
                
                 
              
              
              
              
                
                
                 
              
              
              
              
                
                
                References
- 
    - Williams S. Program to aid entrepreneurial political refugees expanding. Milwaukee Journal Sentinal Online. 2002 Sep 29; [June 1, 2004]; Available at: http://www.jsonline.com/news/state/sep02/83967.asp.
 
- 
    - Hu W, Brindley PJ, McManus DP, Feng Z, Han ZG. Schistosome transcriptomes: new insights into the parasite and schistosomiasis. Trends Mol Med. 2004;10:217–225. - PubMed
 
- 
    - Kogulan P, Lucey DR. Schistosomiasis. eMedicine. 2002 [May 11, 2004]; Available at: http://www.emedicine.com/med/topic2071.htm.
 
Publication types
MeSH terms
LinkOut - more resources
- Full Text Sources
- Research Materials
 
        