Follow-up study on pulmonary function and lung radiographic changes in rehabilitating severe acute respiratory syndrome patients after discharge
- PMID: 15947329
- PMCID: PMC7094359
- DOI: 10.1378/chest.127.6.2119
Follow-up study on pulmonary function and lung radiographic changes in rehabilitating severe acute respiratory syndrome patients after discharge
Abstract
Objectives: To follow-up on the changes in lung function and lung radiographic pictures of severe acute respiratory syndrome (SARS) patients discharged from Xiaotangshan Hospital in Beijing (by regularly receiving examination), and to analyze retrospectively the treatment strategy in these patients.
Methods: Surviving SARS patients were seen at least twice within 3 months after discharge and underwent SARS-associated coronavirus (SARS-CoV) IgG antibody testing, pulmonary function testing, and chest radiography and/or high-resolution CT (HRCT) examinations at Chinese PLA General Hospital. The treatments received at Xiaotangshan Hospital were analyzed retrospectively and were correlated to later status.
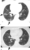
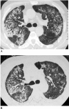
Results: Positive SARS-Co virus IgG antibody results were seen in 208 of 258 patients, with 21.3% (55 of 258 patients) still having a pulmonary diffusion abnormality (D(LCO) < 80% of predicted). By comparing the 155 survivors with positive SARS-CoV IgG antibody results and D(LCO) > or = 80% predicted with the 50 patients with negative SARS-CoV IgG results, we found that 53 patients with positive SARS-CoV IgG results and a lung diffusion abnormality had endured a much longer course of fever and received larger doses of glucocorticoid, as well as higher ratios of oxygen inhalation and noninvasive ventilation treatment. For these patients, 51 of 53 patients with positive SARS-CoV IgG results and a lung diffusion abnormality underwent pulmonary function testing after approximately 1 month. D(LCO) improved in 80.4% of patients (41 of 51 patients). Of the patients with a lung diffusion abnormality, 40 of 51 patients showed lung fibrotic changes in the lung image examination and 22 patients (55%) showed improvement in lung fibrotic changes 1 month later.
Conclusion: These findings suggest that lung fibrotic changes caused by SARS disease occurred mostly in severely sick patients and may be self-rehabilitated. D(LCO) scores might be more sensitive than HRCT when evaluating lung fibrotic changes.
Figures


References
-
- Consensus for the management of severe acute respiratory syndrome. Chinese Med J. 2003;83:1731–1754. Chinese Medical Association. - PubMed
-
- Ministry of Chinese Public Health. Diagnosis standard, treatment proposal and discharge consulting criteria for severe acute respiratory syndrome. http://www.chinacdc.net.cn/feiyan/5.6/kong5.6_2.htm Available at: accessed March 3, 2005.
-
- Antonio GE, Wong KT, Hui DSC. Thin-section CT in patients with severe acute respiratory syndrome following hospital discharge: preliminary experience. Radiology. 2003;228:810–815. - PubMed
-
- Chen W, Xu Z, Mu J. Antibody response and viraemia during the course of severe acute respiratory syndrome (SARS)-associated coronavirus infection. J Med Microbiol. 2004;53:435–438. - PubMed
Publication types
MeSH terms
Substances
LinkOut - more resources
Full Text Sources
Medical
Miscellaneous