Phylogenetic analysis of the spirochetes Borrelia parkeri and Borrelia turicatae and the potential for tick-borne relapsing fever in Florida
- PMID: 16081922
- PMCID: PMC1233929
- DOI: 10.1128/JCM.43.8.3851-3859.2005
Phylogenetic analysis of the spirochetes Borrelia parkeri and Borrelia turicatae and the potential for tick-borne relapsing fever in Florida
Abstract
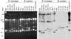
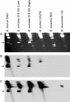
Isolates of Borrelia turicatae, Borrelia parkeri, and the Florida canine borrelia (FCB) were examined to further phylogenetically characterize the identities of these spirochetes in the United States. DNA sequences of four chromosomal loci (the 16S rRNA gene, flaB, gyrB, and glpQ) were determined for eight isolates of B. turicatae and six isolates of B. parkeri, which grouped the spirochetes into two distinct but closely related taxa (>98% sequence identity) separate from Borrelia hermsii. The FCB was clearly separated with the group identified as B. turicatae, confirming this bacterium as a relapsing fever spirochete. Therefore, the potential for tick-borne relapsing fever in humans and other animals exists in Florida and future efforts are needed to determine the enzootic hosts and distribution of this spirochete in the southeastern United States. Analysis of plasmids demonstrated both linear and circular forms in B. turicatae but only linear plasmids in B. parkeri, which should be of interest to investigators concerned with plasmid diversity and evolution within this group of spirochetes.
Figures




References
-
- Adeyeye, O. A., and J. F. Butler. 1989. Population structure and seasonal intra-burrow movement of Ornithodoros turicata (Acari:Argasidae) in gopher tortoise burrows. J. Med. Entomol. 26:279-283. - PubMed
-
- Bacon, R. M., M. A. Pilgard, B. J. B. Johnson, S. J. Raffel, and T. G. Schwan. 2004. Glycerophosphodiester phosphodiesterase gene (glpQ) of Borrelia lonestari identified as a target for differentiating Borrelia species associated with hard ticks (Acari:Ixodidae). J. Clin. Microbiol. 42:2326-2328. - PMC - PubMed
Publication types
MeSH terms
Substances
Grants and funding
LinkOut - more resources
Full Text Sources
Other Literature Sources
Molecular Biology Databases