Intracardiac extension of intravenous leiomyoma
- PMID: 16107124
- PMCID: PMC1163482
Intracardiac extension of intravenous leiomyoma
Abstract
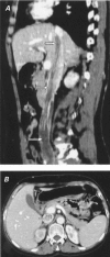
Intravenous leiomyoma with intracaval and intracardiac extension is a rare benign neoplasm affecting women. We report a case in which an intravenous leiomyoma originated from the right iliac vein and extended through the inferior vena cava into the right atrium. The correct diagnosis was made intraoperatively, after resection of the intracardiac extension of the tumor, which was 28 cm in length. At the 2nd stage of the operation, a right common iliac venotomy enabled the removal of all residual tumor from the inferior vena cava.
Figures



References
-
- Nam MS, Jeon MJ, Kim YT, Kim JW, Park KH, Hong YS. Pelvic leiomyomatosis with intracaval and intracardiac extension: a case report and review of the literature. Gynecol Oncol 2003;89:175–80. - PubMed
-
- Norris HJ, Parmley T. Mesenchymal tumors of the uterus. V. Intravenous leiomyomatosis. A clinical and pathologic study of 14 cases. Cancer 1975;36:2164–78. - PubMed
-
- Lam PM, Lo KW, Yu MY, Wong WS, Lau JY, Arifi AA, Cheung TH. Intravenous leiomyomatosis: two cases with different routes of tumor extension. J Vasc Surg 2004;39: 465–9. - PubMed
-
- Harris LM, Karakousis CP. Intravenous leiomyomatosis with cardiac extension: tumor thrombectomy through an abdominal approach. J Vasc Surg 2000;31:1046–51. - PubMed
-
- Merchant S, Malpica A, Deavers MT, Czapar C, Gershenson D, Silva EG. Vessels within vessels in the myometrium. Am J Surg Pathol 2002;26:232–6. - PubMed
Publication types
MeSH terms
LinkOut - more resources
Full Text Sources