Oral ulcer as an exclusive sign of gastric cancer: report of a rare case
- PMID: 16171522
- PMCID: PMC1242220
- DOI: 10.1186/1471-2407-5-117
Oral ulcer as an exclusive sign of gastric cancer: report of a rare case
Abstract
Background: The oral cavity is a rare but occasional target for metastases, which may masquerade as various benign and inflammatory lesions, and sometimes also be asymptomatic. Oral metastatic lesions have been described in various cancers, particularly lung, breast and kidney carcinoma.
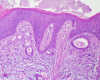
Case presentation: We here describe an uncommon case of a hard palate mucosa and gingival metastasis from gastric carcinoma that was originally diagnosed as a periodontal disease. Histopathological examination of a biopsy of the lesion revealed a signet-ring cell carcinoma, and a subsequent biopsy of an ulcerated stomach lesion showed a poorly differentiated gastric carcinoma. The patient underwent gastric resection but died of heart failure on the tenth postoperative day; a post-mortem examination revealed a residual bilateral ovarian infiltration by gastric carcinoma (Krukenberg's tumor).
Conclusion: An occult carcinoma of the stomach may rarely metastasise to the oral cavity even as a first and exclusive manifestation; it is important to bear this possibility in mind because such conditions may mimic a benign disease.
Figures
References
-
- Imachi M, Tsukamoto N, Amagase H, Shigematsu T, Amada S, Nakano H. Metastatic adenocarcinoma to the uterine cervix from gastric cancer. A clinicopathologic analysis of 16 cases. Cancer. 1993;71:3472–77. - PubMed
Publication types
MeSH terms
LinkOut - more resources
Full Text Sources
Medical
