Synthesis, stability, and function of cytadhesin P1 and accessory protein B/C complex of Mycoplasma pneumoniae
- PMID: 16385047
- PMCID: PMC1347290
- DOI: 10.1128/JB.188.2.569-575.2006
Synthesis, stability, and function of cytadhesin P1 and accessory protein B/C complex of Mycoplasma pneumoniae
Abstract
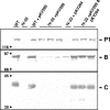
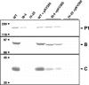
The genes MPN141 and MPN142 encode the major adhesin P1 and the cytadherence-related B/C proteins (P90/P40), respectively, in Mycoplasma pneumoniae. Using reverse transcriptase PCR we found open reading frames MPN140 to MPN142 constitute a polycistronic transcriptional unit. Cytadherence mutant IV-22 has a frameshift mutation in MPN141 and lacks the P1, B, or C proteins. Recombinant MPN141 and/or MPN142 were introduced into mutant IV-22 by transposon delivery in several configurations, and the levels of the P1, B, and C proteins were assessed by immunoblotting. MPN142 in mutant IV-22 has a wild-type nucleotide sequence, yet the introduction of recombinant MPN141 alone to mutant IV-22, although it restored P1 levels, failed to restore levels of B or C. In contrast, recombinant MPN141 and MPN142 delivered in cis or in trans were sufficient to restore all three proteins. Taken together, our data indicated that some but not all synthesis of B or C is dependent on coupling to the translation of P1 immediately upstream of MPN142 and demonstrated that proteins B and C are not stable in the absence of P1. The linkage of MPN141 and MPN142 at the levels of transcription, translation, and protein stability, in addition to their previously demonstrated colocalization and the requirement of B and/or C for P1 function, reinforces the conclusion that these proteins constitute a multiprotein complex that functions in receptor binding.
Figures





References
-
- Aravind, L., and E. V. Koonin. 1998. A novel family of predicted phosphoesterases includes Drosophila prune protein and bacterial RecJ exonuclease. Trends Biochem. Sci. 23:17-19. - PubMed
-
- Balish, M. F., and D. C. Krause. 2002. Cytadherence and the cytoskeleton, p. 491-518. In S. Razin and R. Herrmann (ed.), Molecular biology and pathogenicity of mycoplasmas. Kluwer Academic/Plenum, New York, N.Y.
-
- Feldner, J., U. Gobel, and W. Bredt. 1982. Mycoplasma pneumoniae adhesin localized to tip structure by monoclonal antibody. Nature 298:765-767. - PubMed
Publication types
MeSH terms
Substances
Grants and funding
LinkOut - more resources
Full Text Sources