Pericardial hydatid cyst mimicking acute coronary syndrome
- PMID: 16429906
- PMCID: PMC1351833
Pericardial hydatid cyst mimicking acute coronary syndrome
Abstract
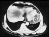
Cardiac hydatid cysts are found mostly within myocardium. Only a few cases of pericardial location have been reported. Patients with hydatid cysts are usually asymptomatic. A 46-year-old man with clinical and electrocardiographic features mimicking acute myocardial ischemia was hospitalized for further evaluation. Detailed imaging and laboratory investigation revealed a pericardial hydatid cyst. The patient underwent operation for curative excision. After surgery, the patient's symptoms resolved and his clinical status improved. We think that pericardial hydatid cyst should be considered in the differential diagnosis of patients with angina-like pain-especially in geographic areas where hydatid cysts are endemic.
Figures





References
-
- Gutierrez Y, Smith JH. Metazoan diseases. In: Damjanov I, Linder J, Anderson WA, editors. Anderson's pathology. 10th ed. St. Louis: Mosby; 1996. p. 1036.
-
- Bayezid O, Ocal A, Isik O, Okay T, Yakut C. A case of cardiac hydatid cyst localized on the interventricular septum and causing pulmonary emboli. J Cardiovasc Surg (Torino) 1991;32:324–6. - PubMed
-
- Murphy TE, Kean BH, Venturini A, Lillehei CW. Echinococcus cyst of the left ventricle. Report of a case with review of the pertinent literature. J Thorac Cardiovasc Surg 1971; 61:443–50. - PubMed
-
- Ottino G, Villani M, De Paulis R, Trucco G, Viara A. Restoration of atrioventricular conduction after surgical removal of a hydatid cyst of the interventricular septum. J Thorac Cardiovasc Surg 1987;93:144–7. - PubMed
-
- Di Bello R, Menendez H. Intracardiac rupture of hydatid cysts of the heart. A study based on three personal observations and 101 cases in the world literature. Circulation 1963; 27:366–74. - PubMed
Publication types
MeSH terms
LinkOut - more resources
Full Text Sources
Medical