Skip to main page content
U.S. flag

An official website of the United States government

Dot gov

The .gov means it’s official.
Federal government websites often end in .gov or .mil. Before sharing sensitive information, make sure you’re on a federal government site.

Https

The site is secure.
The https:// ensures that you are connecting to the official website and that any information you provide is encrypted and transmitted securely.

Access keys NCBI Homepage MyNCBI Homepage Main Content Main Navigation
. 2006 Feb 1;26(5):1596-603.
doi: 10.1523/JNEUROSCI.4946-05.2006.

The lipoprotein receptor LR11 regulates amyloid beta production and amyloid precursor protein traffic in endosomal compartments

Affiliations

The lipoprotein receptor LR11 regulates amyloid beta production and amyloid precursor protein traffic in endosomal compartments

Katrin Offe et al. J Neurosci. .

Abstract

Alzheimer's disease (AD) is a neurodegenerative disorder characterized by progressive cognitive decline and neuropathological changes, including the deposition of amyloid beta (Abeta) in senile plaques. The mechanisms causing the disease and Abeta accumulation are not well understood, but important genetic associations with apolipoprotein E genotype and involvement of lipoprotein receptors have become apparent. LR11 (also known as SorLA), a member of the low-density lipoprotein receptor family, has been identified previously as an altered transcript in microarray analyses of samples from human AD cases. Here, we show neuronal expression of the lipoprotein receptor LR11 in control brain in regions vulnerable to AD neuropathology and marked reduction of LR11 expression in these regions in AD brains before cell death. Overexpression of LR11 drastically reduces levels of extracellular Abeta and also lowers levels of total cellular amyloid precursor protein (APP). LR11 colocalizes with APP and regulates its trafficking in endocytic compartments, which are important intracellular sites for APP processing and Abeta generation. Endogenous LR11 localizes to neuronal multivesicular bodies in both rat and human brain. The robust correlation between reduced LR11 expression and AD neuropathology and its potent effects on extracellular Abeta levels suggest that this neuronal lipoprotein receptor could play an important role in AD pathogenesis.

PubMed Disclaimer

Figures

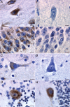
Figure 1.
Figure 1.
LR11 is selectively lost in neurons and vulnerable brain regions in AD. A–C, In control brains, strong punctate immunolabeling was found in CA1–CA3 pyramidal neurons (A), dentate granule cells (B), and frontal cortex pyramidal neurons (C). D, LR11 immunoreactivity was also detected in Purkinje cells of the cerebellum. E–G, In AD brains, LR11 immunoreactivity is absent in CA1–CA3 pyramidal neurons (E), dentate granule cells (F), and frontal cortex pyramidal neurons (G). Hematoxylin counterstain shows otherwise healthy appearing neurons. H, LR11 is preserved in Purkinje cells of the cerebellum in AD patients. Scale bars, 10 μm.
Figure 2.
Figure 2.
LR11 reduces levels of cellular APP and extracellular Aβ. A, Western blots of control and LR11-overexpressing cells show high LR11 expression in LR11-transfected cells and a decrease in total APP in cell extracts. Secreted APPs in conditioned media is not altered, whereas levels of cellular CTFs are increased. Loading control EF-1α is unchanged. B, Quantification of bands shows a significant difference between control and LR11-transfected cells for APP (LR11 mean, 68.5 ± 11.7% of control; p = 0.0432) and CTFs (LR11 mean, 278 ± 47.39% of control; p = 0.0228) but not for APPs (LR11 mean, 127.9 ± 20.33% of control; p = 0.2342). C, Western blots show increasing levels of LR11 protein expression after transfection with pcDNA or increasing amounts of LR11 DNA. The numbers reflect the copy number of LR11 plasmid used relative to control plasmid. Levels of extracellular Aβ1–40 significantly correlate with LR11 protein expression (R2 = 0.8975; p < 0.0001). D, Semiquantitative RT-PCR shows that mRNA levels of LR11 are increased after LR11 transfection, but levels of APP and β-actin (control) mRNA remain unchanged. Data are shown as percentage of control. Error bars represent SD.
Figure 3.
Figure 3.
LR11 colocalizes with APP and alters APP localization to the endosomal system. A, LR11 staining in transfected HEK293 cells shows a punctate pattern (green), immunoreactivity for endogenous APP also shows intracellular punctate staining (red), and the merged image shows substantial colocalization (yellow) of LR11 and APP. B, LR11 (red) colocalizes with the endosomal marker EEA1 (green) as shown by yellow labeling in the merged image, but no colocalization of LR11 was found with the Golgi marker GM130. C, APP staining (red) shows little overlap with EEA1 (green) staining in pcDNA-transfected HEK293 cells. Colocalization (yellow) is increased significantly after LR11 transfection for both APP colocalization with EEA1 (pcDNA mean, 3.6 ± 0.8%; LR11 mean, 9.5 ± 6.0%; p = 0.0064) and EEA1 colocalization with APP (pcDNA mean, 4.5 ± 1.1%; LR11 mean, 16.8 ± 8.8%; p = 0.0005). Scale bars, 10 μm.
Figure 4.
Figure 4.
LR11 is localized to the endosomal system in the brain. A, Endogenous LR11 in a rat cortical neuron shows intracellular punctate staining (red) that colocalizes with EEA1 staining (green), as indicated by yellow staining in the merged image. B, immunogold electron microscopy of the rat and human cortex shows LR11 labeling on MVBs. Scale bars: A, 10 μm; B, 500 nm.

References

    1. Andersen OM, Reiche J, Schmidt V, Gotthardt M, Spoelgen R, Behlke J, von Arnim CA, Breiderhoff T, Jansen P, Wu X, Bales KR, Cappai R, Masters CL, Gliemann J, Mufson EJ, Hyman BT, Paul SM, Nykjaer A, Willnow TE (2005). Neuronal sorting protein-related receptor sorLA/LR11 regulates processing of the amyloid precursor protein. Proc Natl Acad Sci USA 102:13461–13466. - PMC - PubMed
    1. Cataldo AM, Hamilton DJ, Barnett JL, Paskevich PA, Nixon RA (1996). Properties of the endosomal–lysosomal system in the human central nervous system: disturbances mark most neurons in populations at risk to degenerate in Alzheimer’s disease. J Neurosci 16:186–199. - PMC - PubMed
    1. Cataldo AM, Barnett JL, Pieroni C, Nixon RA (1997). Increased neuronal endocytosis and protease delivery to early endosomes in sporadic Alzheimer’s disease: neuropathologic evidence for a mechanism of increased β-amyloidogenesis. J Neurosci 17:6142–6151. - PMC - PubMed
    1. Cataldo AM, Peterhoff CM, Troncoso JC, Gomez-Isla T, Hyman BT, Nixon RA (2000). Endocytic pathway abnormalities precede amyloid beta deposition in sporadic Alzheimer’s disease and Down syndrome: differential effects of APOE genotype and presenilin mutations. Am J Pathol 157:277–286. - PMC - PubMed
    1. Ceresa BP, Lotscher M, Schmid SL (2001). Receptor and membrane recycling can occur with unaltered efficiency despite dramatic Rab5(q79l)-induced changes in endosome geometry. J Biol Chem 276:9649–9654. - PubMed

Publication types

MeSH terms

LinkOut - more resources