Seeing the invisible: painless aortic dissection in the emergency setting
- PMID: 16498148
- PMCID: PMC2464426
- DOI: 10.1136/emj.2004.021790
Seeing the invisible: painless aortic dissection in the emergency setting
Abstract
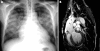
Acute dissection of the aorta can be one of the most dramatic cardiovascular emergencies. Classically, aortic dissection presents as sudden, severe chest, back, or abdominal pain that is characterised as ripping or tearing in nature. However, a timely diagnosis can be elusive in the event of an atypical presentation. In this report, the authors present two patients with painless aortic dissection who were misdiagnosed during their initial evaluation in the emergency department.
Comment in
- 
  
  Atypical aortic dissection as the differential diagnosis of hypertension with flash pulmonary edema.Am J Emerg Med. 2023 Apr;66:157-158. doi: 10.1016/j.ajem.2023.01.012. Epub 2023 Jan 8. Am J Emerg Med. 2023. PMID: 36641241 No abstract available.
References
- 
    - Young J, Herd A M. Painless acute aortic dissection and rupture presenting as syncope. J Emerg Med 200222171–174. - PubMed
 
- 
    - Khan I A, Nair C K. Clinical, diagnostic, and management perspectives of aortic dissection. Chest 2002122311–328. - PubMed
 
- 
    - Khan I A, Wattanasauwan N, Ansari A W. Painless aortic dissection presenting as hoarseness of the voice: cardiovocal syndrome: Ortner's syndrome. Am J Emer Med 199917361–363. - PubMed
 
Publication types
MeSH terms
LinkOut - more resources
- Full Text Sources
- Medical
 
         
               
              