Skip to main page content
U.S. flag

An official website of the United States government

Dot gov

The .gov means it’s official.
Federal government websites often end in .gov or .mil. Before sharing sensitive information, make sure you’re on a federal government site.

Https

The site is secure.
The https:// ensures that you are connecting to the official website and that any information you provide is encrypted and transmitted securely.

Access keys NCBI Homepage MyNCBI Homepage Main Content Main Navigation
Review
. 2006 Mar 18;332(7542):639-42.
doi: 10.1136/bmj.332.7542.639.

Osteoarthritis

Affiliations
Review

Osteoarthritis

David J Hunter et al. BMJ. .
No abstract available

PubMed Disclaimer

Figures

Fig 1
Fig 1
Pathogenic features consistent with osteoarthritis (“joint failure”)
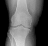
Fig 2
Fig 2
Frontal x ray of knee showing advanced osteoarthritis. Note the narrowing of the joint space, gas within the joint space, sclerosis, and bony spur formation along the margins of the distal femur and proximal tibia
Fig 3
Fig 3
Stepwise algorithm for the management of patients with osteoarthritis. This is an example of a treatment algorithm that is modified according to patient's response and clinician's preference. It highlights the encompassing need to consider non-pharmacological management as first line for all patients

Comment in

References

    1. Martin JA, Buckwalter JA. Roles of articular cartilage aging and chondrocyte senescence in the pathogenesis of osteoarthritis. Iowa Orthop J 2001;21: 1-7. - PMC - PubMed
    1. Nuki G. Osteoarthritis: a problem of joint failure. Z Rheumatol 1999;58: 142-7. - PubMed
    1. Peach CA, Carr AJ, Loughlin J. Recent advances in the genetic investigation of osteoarthritis. Trends Mol Med 2005;11: 186-91. - PubMed
    1. Peat G, McCarney R, Croft P. Knee pain and osteoarthritis in older adults: a review of community burden and current use of primary health care. Ann Rheum Dis 2001;60: 91-7. - PMC - PubMed
    1. Dieppe PA, Lohmander LS. Pathogenesis and management of pain in osteoarthritis. Lancet 2005;365: 965-73. - PubMed

Publication types

MeSH terms

Substances