Skip to main page content
U.S. flag

An official website of the United States government

Dot gov

The .gov means it’s official.
Federal government websites often end in .gov or .mil. Before sharing sensitive information, make sure you’re on a federal government site.

Https

The site is secure.
The https:// ensures that you are connecting to the official website and that any information you provide is encrypted and transmitted securely.

Access keys NCBI Homepage MyNCBI Homepage Main Content Main Navigation
Case Reports
. 2006 Mar;21(1):57-61.
doi: 10.3904/kjim.2006.21.1.57.

Peripheral T-cell lymphoma-unspecified (PTCL-U) presenting with hypereosinophilic syndrome and pleural effusions

Affiliations
Case Reports

Peripheral T-cell lymphoma-unspecified (PTCL-U) presenting with hypereosinophilic syndrome and pleural effusions

Won Choi et al. Korean J Intern Med. 2006 Mar.

Abstract

Hypereosinophilic syndrome (HES) is a clinical disorder characterized by persistent eosinophilia and systemic involvement, in which a specific causative factor for the eosinophilia cannot be verified during a certain period of time. There have been only a few reported cases of this syndrome associated with malignant lymphoma. We report a case of peripheral T-cell lymphoma-unspecified with hypereosinophilic syndrome. The patient was a 42-year-old woman with an uncontrolled fever and a sore throat. Eosinophilia was observed on the peripheral blood smear. We confirmed the diagnosis by bone marrow and liver biopsies:. A bone marrow aspiration demonstrated markedly increased eosinophils (24.8%), and a liver biopsy demonstrated infiltration by scattered eosinophils and atypical lymphoid cells, which were confirmed to be T-cell lymphoma cells. This case was a distinctive presentation of peripheral T-cell lymphoma with hypereosinophilic syndrome, probably due to a paraneoplastic condition.

PubMed Disclaimer

Figures

Figure 1
Figure 1
(A) A chest X-ray demonstrated mild pulmonary congestion and a left pleural effusion. (B) A chest CT demonstrated mild pulmonary congestion and bilateral pleural effusions (arrow).
Figure 2
Figure 2
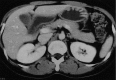
Abdominal CT. (A) Demonstrated diffuse hepatosplenomegaly. (B) Demonstrated left paraaortic lymphadenopathy (arrow).
Figure 3
Figure 3
Bone marrow aspiration demonstrated a markedly increased number of eosinophils (Giemsa stain, ×1000) (arrow).
Figure 4
Figure 4
Pleural fluid cytology. (A) Demonstrated a few atypical cells (papanicolaou smear, ×1000) (arrowhead). (B) Demonstrated a few atypical cells (Ki 67 stain, ×1000) (arrowhead).
Figure 5
Figure 5
Liver biopsy. (A) Demonstrated a few atypical lymphoid cells (arrowhead) and eosinophils (H & E stain, ×400) (arrow) in the portal space. (B) Demonstrated eosinophils (Ki 67 stain, ×1000) (arrow) in the portal space. (C) Demonstrated eosinophils (CD3 stain, ×1000) (arrow) in the portal space (CD3 stain, ×1000).
Figure 6
Figure 6
Abdominal CT demonstrated marked improvement in the lymphadenopathy after 6 courses of chemotherapy.
Figure 7
Figure 7
Abdominal CT demonstrated an increase in the size and extent of the lymphadenopathy (arrow), one month after completion of the eighth course of chemotherapy.

References

    1. Hardy WR, Ancerson R. The hypereosinophilic syndrome. Ann Intern Med. 1968;68:1220–1229. - PubMed
    1. Chusid MJ, Dale DC, West BC, Wolff SM. The hypereosinophilic syndrome: analysis of 14 cases with review of the literature. Medicine. 1975;54:1–27. - PubMed
    1. Fauci AS, Harley JB, Robert WC, Ferrans VJ, Gralnick HR, Bjornson BH. The idiopathic hypereosinophilic syndrome: clinical, pathophysiologic, and therapeutic consideration. Ann Intern Med. 1982;97:78–92. - PubMed
    1. Berki T, David M, Bone B, Losonczy H, Vass J, Nemeth P. New diagnostic tool for differentiation of idiopathic hypereosinophilic syndrome and secondary eosinophilic states. Pathol Oncol Res. 2001;7:292–297. - PubMed
    1. Bunc M, Remskar A, Brucan A. The idiopathic hypereosinophilic syndrome. Eur J Emerg Med. 2001;8:325–330. - PubMed

Publication types