Skip to main page content
U.S. flag

An official website of the United States government

Dot gov

The .gov means it’s official.
Federal government websites often end in .gov or .mil. Before sharing sensitive information, make sure you’re on a federal government site.

Https

The site is secure.
The https:// ensures that you are connecting to the official website and that any information you provide is encrypted and transmitted securely.

Access keys NCBI Homepage MyNCBI Homepage Main Content Main Navigation
. 2006 Jun-Jul;27(6):1288-91.

Magnetic resonance imaging for the detection of nasopharyngeal carcinoma

Affiliations

Magnetic resonance imaging for the detection of nasopharyngeal carcinoma

A D King et al. AJNR Am J Neuroradiol. 2006 Jun-Jul.

Abstract

Background: Endoscopic guided biopsy (EGB) is performed after an initial endoscopy for the investigation of patients with suspected nasopharyngeal carcinoma (NPC). The aim of the study was to determine whether MR imaging has the potential to replace invasive EGB in patients with a normal endoscopy.

Patients and methods: Data from 2 groups of patients was reviewed, group 1 with proved NPC for MR staging (n = 456) and group 2 with suspected NPC (n = 77). The sensitivity was calculated for group 1 and sensitivity, specificity, positive predictive value (PPV), negative predictive value (NPV), and accuracy for group 2.

Results: In group 1, which included 118 of 456 (26%) with stage 1 disease, cancer was detected in all patients, giving a sensitivity of 100%. In group 2, MR imaging was negative for NPC in 70 (91%) patients, and no cancer has been detected on follow-up (follow-up range, 1-90 months; mean, 36 months). MR imaging was positive for NPC in 7 (9%) patients and NPC was confirmed by biopsy in 3 (4%). Two of these 3 patients had undergone negative endoscopy and biopsy before the MR imaging. NPC was not present in the remaining 4 patients, 2 of whom were found to have lymphoid hyperplasia. MR imaging had a sensitivity of 100%, specificity of 95%, NPV of 100%, PPV of 43%, and accuracy of 95%.

Conclusion: MR imaging has the potential to screen healthy patients who do not require EGB and direct the site of biopsy in small cancers that may be missed by endoscopy. On the basis of these results, a prospective study is planned.

PubMed Disclaimer

Figures

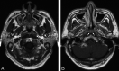
Fig 1.
Fig 1.
Axial T1-weighted MR image postcontrast of the nasopharynx of a patient with proved NPC (group 1) undergoing staging with a small cancer confined to the left side of the nasopharynx (arrows) (stage T1).
Fig 2.
Fig 2.
Axial T1-weighted contrast-enhanced MR image of a patient with suspected NPC (group 2) with a normal nasopharynx (arrows show normal enhancing mucosa).
Fig 3.
Fig 3.
Axial T1-weighted contrast-enhanced MR image of the nasopharynx in 2 patients with suspected NPC (group 2) where cancer was initially missed by endoscopy and biopsy but identified by MR imaging. Patient with a small cancer in the left fossa of Rosenmuller (arrows) (stage T1) (A) and patient with a small cancer over the torus tubarius (arrows) (stage T1) (B).
Fig 4.
Fig 4.
Axial T1-weighted contrast-enhanced MR image of the nasopharynx in a patient with suspected NPC (group 2) where MR imaging incorrectly diagnosed cancer that was later shown by biopsy to be lymphoid hyperplasia. A, Section at the level of the fossa of Rosenmuller shows mucosal abnormality in the fossa bilaterally (arrows), giving the false-positive result on MR imaging for cancer. B, Section at the level of the roof shows the “striped” appearance of normal lymphoid tissue in the adenoids (arrows).

References

    1. Chong VF, Fan YF. Skull base erosion in nasopharyngeal carcinoma: detection by CT and MRI. Clin Radiol 1996;51:625–31 - PubMed
    1. Ng SH, Chang TC, Ko SF, et al. Nasopharyngeal carcinoma: MRI and CT assessment. Neuroradiology 1997;39:741–46 - PubMed
    1. Chong VF, Fan YF. Khoo JB. Computed tomographic and magnetic resonance imaging findings in paranasal sinus involvement in nasopharyngeal carcinoma. Ann Acad MedSingapore 1998;27:800–04 - PubMed
    1. AD King, W Lam, SF Leung, et al. MR imaging of local disease in nasopharyngeal carcinoma: tumour extent vs tumour stage. BJR 1999;2:734–41 - PubMed
    1. Poon PY, Tsang VH, Munk PL. Tumour extent and T stage of nasopharyngeal carcinoma: a comparison of magnetic resonance imaging and computed tomographic findings. Can Assoc Radiol J 2000;51:287–95 - PubMed