Skip to main page content
U.S. flag

An official website of the United States government

Dot gov

The .gov means it’s official.
Federal government websites often end in .gov or .mil. Before sharing sensitive information, make sure you’re on a federal government site.

Https

The site is secure.
The https:// ensures that you are connecting to the official website and that any information you provide is encrypted and transmitted securely.

Access keys NCBI Homepage MyNCBI Homepage Main Content Main Navigation
. 2006 Apr-Jun;10(2):193-8.

Laparoscopic transabdominal preperitoneal repair of spigelian hernia

Affiliations

Laparoscopic transabdominal preperitoneal repair of spigelian hernia

Chinnaswamy Palanivelu et al. JSLS. 2006 Apr-Jun.

Abstract

Background: A Spigelian hernia is a congenital defect in the transversus aponeurosis fascia. Traditionally, an anterior hernioplasty was used to repair these defects. This study aimed to document our experience with laparoscopic transabdominal preperitoneal repair for Spigelian hernia.

Methods: Eight patients underwent laparoscopic transabdominal Spigelian hernia repair. All patients underwent creation of a peritoneal flap, sac dissection, identification and approximation of the fascial defect, mesh reinforcement, and reperitonealization.

Results: All patients presented with pain. An intermittent palpable mass was noticed in 4 patients. One third of the patients had undergone prior surgery and none had an incisional hernia. Only 1 patient presented with severe pain for 1 day; however, there was no bowel strangulation intraoperatively. All patients underwent laparoscopic transabdominal preperitoneal repair. No postoperative complications occurred. There have been no recurrences at a mean follow-up of 41 months (range, 8 to 96).

Conclusion: Laparoscopic transabdominal preperitoneal repair of Spigelian hernia is safe, easy, and feasible for experienced laparoscopic surgeons.

PubMed Disclaimer

Figures

Figure 1.
Figure 1.
Spigelian aponeurosis. (A) Munros line, (B) imaginary line 6 cm from interspinal line, (C) linea alba, (D) posterior rectus sheath, (E) spigelian line (semilunar line), (F) spigelian belt, (G) spigelian aponeurosis, (H) interspinal line.
Figure 2.
Figure 2.
Spigelian aponeurosis. (A) Rectus muscle, (B) area of high spigelian hernia, (C) area of low spigelian hernia, (D) transversus abdominis, (E) inferior epigastric vessels.
Figure 3.
Figure 3.
(A) Spigelian hernial defect without any contents.
Figure 4.
Figure 4.
Spigelian hernial defect with sigmoid mesentery as contents. (A) Rectus abdominis muscle, (B) Spigelian defect.
Figure 5.
Figure 5.
(A) Reduction of the sigmoid mesentery.
Figure 6.
Figure 6.
Spigelian defect after reduction of contents. (A) Inferior epigastric vessels, (B) defect visualized above the inferior epigastric vessels, (C) Sigmoid colon.
Figure 7.
Figure 7.
Dissection of sac after creation of peritoneal flap.
Figure 8.
Figure 8.
Spigelian defect. (A) Inferior epigastric vessels, (B) defect.
Figure 9.
Figure 9.
Approximation of the defect by intracorporeal polypropylene suture.
Figure 10.
Figure 10.
Defect reinforced with polypropylene mesh.
Figure 11.
Figure 11.
Mesh fixation with intracorporeal polypropylene suture.
Figure 12.
Figure 12.
Completion of the peritoneal flap closure with absorbable suture.
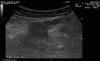
Figure 13.
Figure 13.
Ultrasound image of spigelian hernia. Defect is shown (between the arrows).

References

    1. Spangen L. Spigelian hernia. Surg Clin North Am. 1984; 64: 351– 366 - PubMed
    1. Kalaba Z. Spigelian hernia: a case of typical Spigelian hernia in an elderly man. Ugeskr Laeger. 1999; 161: 2095– 2096 - PubMed
    1. Spangen L. Spigelian hernia. World J Surg. 1989; 13: 573– 580 - PubMed
    1. Palanivelu C. Laparoscopic management of rare hernia. In: Operative Manual of Laparoscopic Hernia Surgery. India: Gem Foundation; 2004; 295: 305
    1. Larson DW, Farley DR. Spigelian hernias: repair and outcome for 81 patients. World J Surg. 2002; 26 ( 10): 1277– 1281 - PubMed

LinkOut - more resources