Clonal emergence of extended-spectrum beta-lactamase (CTX-M-2)-producing Salmonella enterica serovar Virchow isolates with reduced susceptibilities to ciprofloxacin among poultry and humans in Belgium and France (2000 to 2003)
- PMID: 16891509
- PMCID: PMC1594617
- DOI: 10.1128/JCM.02549-05
Clonal emergence of extended-spectrum beta-lactamase (CTX-M-2)-producing Salmonella enterica serovar Virchow isolates with reduced susceptibilities to ciprofloxacin among poultry and humans in Belgium and France (2000 to 2003)
Abstract
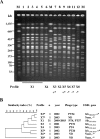
Antibiotic treatment is not required in cases of Salmonella enterica gastroenteritis but is essential in cases of enteric fever or invasive salmonellosis or in immunocompromised patients. Although fluoroquinolones and extended-spectrum cephalosporins are the drugs of choice to treat invasive Salmonella, resistance to these antibiotics is increasing worldwide. During the period 2000 to 2003, 90 Salmonella enterica serovar Virchow poultry and poultry product isolates and 11 serovar Virchow human isolates were found to produce an extended-spectrum beta-lactamase, CTX-M-2, concomitantly with a TEM-1 beta-lactamase. The bla(CTX-M-2) gene was located on a large conjugative plasmid (>100 kb). Pulsed-field gel electrophoresis indicated a clonal relationship between the poultry and human isolates. All these isolates displayed additional resistance to trimethoprim-sulfamethoxazole and tetracycline as well as a reduced susceptibility to ciprofloxacin (MICs of between 0.5 and 1 mug/ml). CTX-M-2-producing Salmonella with a reduced susceptibility to fluoroquinolones constitutes a major concern, since such strains could disseminate on a large scale and jeopardize classical antibiotic therapy in immunocompromised patients.
Figures



References
-
- Baucheron, S., H. Imberechts, E. Chaslus-Dancla, and A. Cloeckaert. 2002. The AcrB multidrug transporter plays a major role in high-level fluoroquinolone resistance in Salmonella enterica serovar Typhimurium phage type DT204. Microb. Drug Resist. 8:281-289. - PubMed
-
- Bauernfeind, A., J. M. Casellas, M. Goldberg, M. Holley, R. Jungwith, P. Mangold, T. Rohnisch, S. Schweighart, and R. Wilhelm. 1992. A new plasmidic cefotaximase from patients infected with Salmonella typhimurium. Infection 20:158-163. - PubMed
Publication types
MeSH terms
Substances
LinkOut - more resources
Full Text Sources
Other Literature Sources
Medical
Miscellaneous