Retinoblastoma
- PMID: 16934146
- PMCID: PMC1586012
- DOI: 10.1186/1750-1172-1-31
Retinoblastoma
Abstract
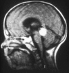
Retinoblastoma is a rare eye tumor of childhood that arises in the retina. It is the most common intraocular malignancy of infancy and childhood; with an incidence of 1/15,000-20,000 live births. The two most frequent symptoms revealing retinoblastoma are leukocoria and strabismus. Iris rubeosis, hypopyon, hyphema, buphthalmia, orbital cellulites and exophthalmia may also be observed. Sixty per cent of retinoblastomas are unilateral and most of these forms are not hereditary (median age at diagnosis two years). Retinoblastoma is bilateral in 40% of cases (median age at diagnosis one year). All bilateral and multifocal unilateral forms are hereditary. Hereditary retinoblastoma constitutes a cancer predisposition syndrome: a subject constitutionally carrying an RB1 gene mutation has a greater than 90% risk of developing retinoblastoma but is also at increased risk of developing other types of cancers. Diagnosis is made by fundoscopy. Ultrasound, magnetic resonance imaging (MRI) and computed tomography (CT) scans may contribute to diagnosis. Management of patients with retinoblastoma must take into account the various aspects of the disease: the visual risk, the possibly hereditary nature of the disease, the life-threatening risk. Enucleation is still often necessary in unilateral disease; the decision for adjuvant treatment is taken according to the histological risk factors. Conservative treatment for at least one eye is possible in most of the bilateral cases. It includes laser alone or combined with chemotherapy, cryotherapy and brachytherapy. The indication for external beam radiotherapy should be restricted to large ocular tumors and diffuse vitreous seeding because of the risk of late effects, including secondary sarcoma. Vital prognosis, related to retinoblastoma alone, is now excellent in patients with unilateral or bilateral forms of retinoblastoma. Long term follow-up and early counseling regarding the risk of second primary tumors and transmission should be offered to retinoblastoma patients.
Figures
References
-
- Zhang J, Schweers B, Dyer MA. The first knockout mouse model of retinoblastoma. Cell Cycle. 2004;3:952–959. - PubMed
Publication types
MeSH terms
Substances
LinkOut - more resources
Full Text Sources
Molecular Biology Databases
Miscellaneous
