Reversible delayed posthypoxic leukoencephalopathy
- PMID: 16971632
- PMCID: PMC8139791
Reversible delayed posthypoxic leukoencephalopathy
Abstract
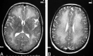
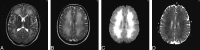
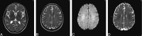
Hypoxic ischemic encephalopathy may cause early deep white matter abnormalities on MR imaging that usually progress to include gray matter and basal ganglia change. Toxic leukoencephalopathy due to heroin inhalation predominantly causes cerebellar and posterior cerebral radiologic change. Both conditions rarely present clinically and radiologically in a delayed manner with subsequent recovery. We report a case of reversible delayed posthypoxic/toxic leukoencephalopathy with no clinical or radiologic evidence of gray matter insult.
Figures



References
-
- Mathuranath PS, Nestor PJ, Berrios GE, et al. A brief cognitive test battery to differentiate Alzheimer’s disease from frontotemporal dementia. Neurology 2000;55:1613–20 - PubMed
-
- Chalela JA, Wolf RL, Maldjian JA, et al. MRI identification of early white matter injury in anoxic-ischaemic encephalopathy. Neurology 2001;56:481–85 - PubMed
-
- Filley CM, Kleinschmidt-DeMasters BK. Toxic leukoencephalopathy. N Engl J Med 2001;345:425–32 - PubMed
-
- Keogh CF, Andrews GT, Spacey SD, et al. Neuroimaging features of heroin inhalation toxicity: “chasing the dragon.” AJR Am J Roentgenol 2003;180:847–50 - PubMed
Publication types
MeSH terms
Substances
LinkOut - more resources
Full Text Sources
Medical