Skip to main page content
U.S. flag

An official website of the United States government

Dot gov

The .gov means it’s official.
Federal government websites often end in .gov or .mil. Before sharing sensitive information, make sure you’re on a federal government site.

Https

The site is secure.
The https:// ensures that you are connecting to the official website and that any information you provide is encrypted and transmitted securely.

Access keys NCBI Homepage MyNCBI Homepage Main Content Main Navigation
. 2006 Nov-Dec;27(10):2093-7.

Hippocampal infolding angle changes during brain development assessed by prenatal MR imaging

Affiliations

Hippocampal infolding angle changes during brain development assessed by prenatal MR imaging

A Righini et al. AJNR Am J Neuroradiol. 2006 Nov-Dec.

Abstract

Background and purpose: Epileptic syndromes or neurodevelopmental delay may be associated with congenital anomalies of the shape or the orientation of the hippocampus. Scarce data are available about quantitative hippocampal developmental changes during fetal life, in particular about the progressive rotational changes of the hippocampal infolding angle (HIA), which can be considered a hallmark of hippocampal development. We hypothesized that prenatal MR imaging could demonstrate the progressive rotation of the hippocampus, providing quantitative data by means of the HIA determination.

Methods: We retrospectively selected 62 fetal MR imaging cases with normal brain at prenatal and postnatal imaging. The gestational age ranged from 20 to 37 weeks. The coronal section encompassing the pons was used to perform the measurement of HIA. HIA was defined as the angle between the line connecting the lateral margin of the cornu ammonis with the medial superior margin of the subiculum and the line passing through the midline structures.

Results: A significant positive correlation was found between the HIA value and the gestational age. The HIA was generally below 70 degrees before the gestational week 25 and above 70 degrees after week 30.

Conclusion: Prenatal MR imaging allowed the progressive rotation of hippocampus to be detected during fetal life, providing normative data about HIA changes. These data could support further investigations to assess how fetal HIA anomalies might affect postnatal neurologic outcome.

PubMed Disclaimer

Figures

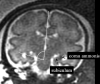
Fig 1.
Fig 1.
The method used to assess the hippocampal infolding angle (HIA) is shown on the coronal T2-weighted single-shot, fast spin-echo section encompassing the pons.
Fig 2.
Fig 2.
Graph illustrating the significantly positive correlation between the HIA (average of values relative of both hemispheres) and the gestational age (GA).
Fig 3.
Fig 3.
Coronal T2-weighted single-shot, fast spin-echo sections depicting the change of HIA value in 6 representative cases of different GA.
Fig 4.
Fig 4.
Graph illustrating the average HIA value in the 5 GA groups into which the 62-fetus population was divided. The number (n) of fetuses for each group is reported. Bars indicate the 2 SD range.
Fig 5.
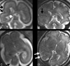
Fig 5.
T2-weighted single-shot, fast spin-echo MR images from the fetal case reported in the “Discussion” section. A and B, Two coronal sections from studies in gestational weeks 23 and 32, respectively, depicting at right temporal-occipital level the abnormal invagination of a cortical sulcus (black arrow). An additional abnormal smaller sulcus is visible (black arrowhead). The normal migrating cells band is focally thinned (white arrowhead). Note the integrity of ventricular wall, excluding the presence of a schizencephalic cleft. C and D, Two axial sections from studies in gestational weeks 21 and 32, respectively, showing the early abnormal cortical sulcus (black arrow), followed later on by the development of multiple abnormal sulci (white arrows).
Fig 6.
Fig 6.
Same case as Fig 5. A and B, Two coronal T2-weighted single-shot, fast spin-echo sections from studies in gestational weeks 23 and 32, respectively, showing the abnormal value of the right HIA in comparison with the normal contralateral one.

References

    1. Sato N, Hatakeyama S, Shimizu N, et al. MR evaluation of the hippocampus in patients with congenital malformations of the brain. AJNR Am J Neuroradiol 2001;22:389–93 - PMC - PubMed
    1. Baulac M, De Grissac N, Hasboun D, et al. Hippocampal developmental changes in patients with partial epilepsy: magnetic resonance imaging and clinical aspects. Ann Neurol 1998;44:223–33 - PubMed
    1. Okada Y, Toshinori K, Iwai K, et al. Evaluation of hippocampal infolding using magnetic resonance imaging. NeuroReport 2003;14:1405–09 - PubMed
    1. Kier EL, Kim JH, Fulbright RK, et al. Embryology of the human fetal hippocampus: MR imaging, anatomy, and histology. AJNR Am J Neuroradiol 1997;18:525–32 - PMC - PubMed
    1. Bernasconi N, Kinay D, Andermann F, et al. Analysis of shape and positioning of the hippocampal formation: an MRI study in patients with partial epilepsy and healthy controls. Brain 2005;128:2442–52 - PubMed