Focussed Assessment Sonograph Trauma (FAST) and CT scan in blunt abdominal trauma: surgeon's perspective
- PMID: 17140344
- PMCID: PMC1831890
- DOI: 10.5555/afhs.2006.6.3.187
Focussed Assessment Sonograph Trauma (FAST) and CT scan in blunt abdominal trauma: surgeon's perspective
Abstract
Background: Diagnosis of blunt abdominal trauma is a real challenge even for experienced trauma surgeons. Diagnostic tools that help the treating doctor in optimum management of blunt abdominal trauma include; Focussed Assessment Sonography for Trauma (FAST), Diagnostic peritoneal lavage (DPL) and CT scan.
Objectives: the aim of this communication is to define the recent role of FAST and CT scan of the abdomen in the diagnosis of blunt abdominal trauma.
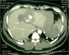
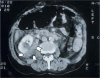
Findings and conclusions: FAST is useful as the initial diagnostic tool for abdominal trauma to detect intraabdominal fluid. With proper training and understanding the limitations of ultrasound, the results of FAST can be optimized. DPL is indicated to diagnose suspected internal abdominal injury when ultrasound machine is not available, there is no trained person to perform FAST, or the results of FAST are equivocal or difficult to interpret in a haemodynamically unstable patient. In contrast, in haemodynamically stable patients the diagnostic modality of choice is CT with intravenous contrast. It is useful to detect free air and intraperitoneal fluid, delineate the extent of solid organ injury, detect retroperitoneal injuries, and help in the decision for conservative treatment. Helical CT is done rapidly which reduces the time the patient stays in the CT scan room. Furthermore, this improves sagittal and coronal reconstruction images which are useful for detecting ruptured diaphragm.
Figures




References
-
- Abu-Zidan FM, Freeman P, Mandivia Diku. The first Australasian workshop on bedside ultrasound in the Emergency Department. NZ Med J. 1999;112:322–324. - PubMed
-
- Dittrich K, Abu-Zidan FM. Role of Ultrasound in Mass-Casualty Situations. International Journal of Disaster Medicine. 2004;2:18–23.
-
- Abu-Zidan FM, Al-Zayat I, Sheikh M, Mousa I, Behbehani A. Role of ultrasonography in blunt abdominal trauma, a prospective study. Eur J Surg. 1996;162:361–365. - PubMed
-
- Branney SW, Moore EE, Cantrill SV, et al. Ultrasound based key clinical pathway reduces the use of hospital resources for the evaluation of blunt abdominal trauma. J Trauma. 1997;42:1086–1090. - PubMed
-
- Shanmuganathan K. Multi-detector row CT imaging of blunt abdominal trauma. Semin Ultrasound CT MR. 2004;25:180–204. - PubMed
Publication types
MeSH terms
LinkOut - more resources
Full Text Sources
Medical