Glycogen storage disease type III-hepatocellular carcinoma a long-term complication?
- PMID: 17196294
- PMCID: PMC2683272
- DOI: 10.1016/j.jhep.2006.09.022
Glycogen storage disease type III-hepatocellular carcinoma a long-term complication?
Abstract
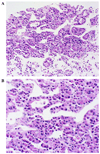
Background/aims: Glycogen storage disease III (GSD III) is caused by a deficiency of glycogen-debranching enzyme which causes an incomplete glycogenolysis resulting in glycogen accumulation with abnormal structure (short outer chains resembling limit dextrin) in liver and muscle. Hepatic involvement is considered mild, self-limiting and improves with age. With increased survival, a few cases of liver cirrhosis and hepatocellular carcinoma (HCC) have been reported.
Methods: A systematic review of 45 cases of GSD III at our center (20 months to 67 years of age) was reviewed for HCC, 2 patients were identified. A literature review of HCC in GSD III was performed and findings compared to our patients.
Conclusions: GSD III patients are at risk for developing HCC. Cirrhosis was present in all cases and appears to be responsible for HCC transformation There are no reliable biomarkers to monitor for HCC in GSD III. Systematic evaluation of liver disease needs be continued in all patients, despite lack of symptoms. Development of guidelines to allow for systematic review and microarray studies are needed to better delineate the etiology of the hepatocellular carcinoma in patients with GSD III.
Figures





Comment in
-
Does increased fatty acid oxidation enhance development of liver cirrhosis and progression to hepatocellular carcinoma in patients with glycogen storage disease type-III?J Hepatol. 2007 Aug;47(2):298-300; author reply 300-1. doi: 10.1016/j.jhep.2007.05.007. Epub 2007 May 29. J Hepatol. 2007. PMID: 17570555 No abstract available.
References
-
- Chen YT, Burhchell A. Glycogen storage diseases. In: Scriver CR, Beaudet AL, Sly WS, Valle D, editors. The metabolic and molecular bases of inherited disease. New York: McGraw-Hill, Inc., Health Professions Division; pp. 935–966.
-
- Talente GM, Coleman RA, Alter C, Baker L, Brown BI, Cannon RA, et al. Glycogen storage disease in adults. Ann Intern Med. 1994;120:218–226. - PubMed
-
- Coleman RA, Winter HS, Wolf B, Chen YT. Glycogen debranching enzyme deficiency: long-term study of serum enzyme activities and clinical features. J Inherit Metab Dis. 1992;15:869–881. - PubMed
-
- Labrune P, Trioche P, Duvaltier I, Chevalier P, Odievre M. Hepatocellular adenomas in glycogen storage disease type I and III: a series of 43 patients and review of the literature. J Pediatr Gastroenterol Nutr. 1997;24:276–279. - PubMed
Publication types
MeSH terms
Grants and funding
LinkOut - more resources
Full Text Sources
Medical