Inflammation, atrophy, and gastric cancer
- PMID: 17200707
- PMCID: PMC1716216
- DOI: 10.1172/JCI30111
Inflammation, atrophy, and gastric cancer
Abstract
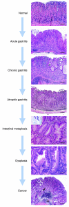
The association between chronic inflammation and cancer is now well established. This association has recently received renewed interest with the recognition that microbial pathogens can be responsible for the chronic inflammation observed in many cancers, particularly those originating in the gastrointestinal system. A prime example is Helicobacter pylori, which infects 50% of the world's population and is now known to be responsible for inducing chronic gastric inflammation that progresses to atrophy, metaplasia, dysplasia, and gastric cancer. This Review provides an overview of recent progress in elucidating the bacterial properties responsible for colonization of the stomach, persistence in the stomach, and triggering of inflammation, as well as the host factors that have a role in determining whether gastritis progresses to gastric cancer. We also discuss how the increased understanding of the relationship between inflammation and gastric cancer still leaves many questions unanswered regarding recommendations for prevention and treatment.
Figures





References
-
- Ries, L.A.G., et al. 2005. SEER Cancer Statistics Review, 1975–2002. National Cancer Institute. Bethesda, Maryland, USA. http://seer.cancer.gov/csr/1975_2002/.
-
- Parkin D.M., Pisani P., Ferlay J. Global cancer statistics. CA Cancer J. Clin. 1999;49:33–64. - PubMed
-
- Lauren P. The two histological main types of gastric carcinoma: diffuse and so-called intestinal-type carcinoma. An attempt at a histo-clinical classification. Acta Pathol. Microbiol. Scand. 1965;64:31–49. - PubMed
-
- Cuello C., et al. Histopathology of gastric dysplasias: correlations with gastric juice chemistry. Am. J. Surg. Pathol. 1979;3:491–500. - PubMed
-
- Philip M., Rowley D.A., Schreiber H. Inflammation as a tumor promoter in cancer induction. Semin. Cancer Biol. 2004;14:433–439. - PubMed
Publication types
MeSH terms
Grants and funding
LinkOut - more resources
Full Text Sources
Other Literature Sources
Medical