Differential diagnosis of laryngeal spindle cell carcinoma and inflammatory myofibroblastic tumor--report of two cases with similar morphology
- PMID: 17212821
- PMCID: PMC1779261
- DOI: 10.1186/1746-1596-2-1
Differential diagnosis of laryngeal spindle cell carcinoma and inflammatory myofibroblastic tumor--report of two cases with similar morphology
Abstract
Background: Spindle cell tumors of the larynx are rare. In some cases, the dignity is difficult to determine. We report two cases of laryngeal spindle cell tumors.
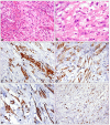
Case presentation: Case 1 is a spindle cell carcinoma (SPC) in a 55 year-old male patient and case 2 an inflammatory myofibroblastic tumor (IMT) in a 34 year-old female patient. A comprehensive morphological and immunohistochemical analysis was done. Both tumors arose at the vocal folds. Magnified laryngoscopy showed polypoid tumors. After resection, conventional histological investigation revealed spindle cell lesions with similar morphology. We found ulceration, mild atypia, and myxoid stroma. Before immunohistochemistry, the dignity was uncertain. Immunohistochemical investigations led to diagnosis of two distinct tumors with different biological behaviour. Both expressed vimentin. Furthermore, the SPC was positive for pan-cytokeratin AE1/3, CK5/6, and smooth-muscle actin, whereas the IMT reacted with antibodies against ALK-1, and EMA. The proliferation (Ki67) was up to 80% in SPC and 10% in IMT. Other stainings with antibodies against p53, p21, Cyclin D1, or Rb did not result in additional information. After resection, the patient with SPC is free of disease for seven months. The IMT recurred three months after first surgery, but no relapses were found eight months after resurgery.
Conclusion: Differential diagnosis can be difficult without immunohistochemistry. Therefore, a comprehensive morphological and immunohistochemical analysis is necessary, but markers of cell cycle (apart from the assessment of proliferation) do not help.
Figures
References
-
- Barnes L, Eveson JW, Reichart P and Sidransky D, editor. Pathology and Genetics of Head and Neck Tumours. WHO Classification of Tumours, Volume 9. , World Health Organization; 2005.
-
- Torenbeek R, Hermsen MA, Meijer GA, Baak JP, Meijer CJ. Analysis by comparative genomic hybridization of epithelial and spindle cell components in sarcomatoid carcinoma and carcinosarcoma: histogenetic aspects. J Pathol. 1999;189:338–343. doi: 10.1002/(SICI)1096-9896(199911)189:3<338::AID-PATH429>3.0.CO;2-Q. - DOI - PubMed
LinkOut - more resources
Full Text Sources
Research Materials
Miscellaneous
