Skip to main page content
U.S. flag

An official website of the United States government

Dot gov

The .gov means it’s official.
Federal government websites often end in .gov or .mil. Before sharing sensitive information, make sure you’re on a federal government site.

Https

The site is secure.
The https:// ensures that you are connecting to the official website and that any information you provide is encrypted and transmitted securely.

Access keys NCBI Homepage MyNCBI Homepage Main Content Main Navigation
. 2007 Mar;13(3):313-6.
doi: 10.1261/rna.351707. Epub 2007 Jan 19.

The imprinted H19 noncoding RNA is a primary microRNA precursor

Affiliations

The imprinted H19 noncoding RNA is a primary microRNA precursor

Xuezhong Cai et al. RNA. 2007 Mar.

Abstract

Although H19 was the first imprinted noncoding transcript to be identified, the function of this conserved RNA has remained unclear. Here, we identify a 23-nucleotide microRNA derived from H19 that is endogenously expressed in human keratinocytes and neonatal mice and overexpressed in cells transfected with human or mouse H19 expression plasmids. These data demonstrate that H19 can function as a primary microRNA precursor and suggest that H19 expression results in the post-transcriptional downregulation of specific mRNAs during vertebrate development.

PubMed Disclaimer

Figures

FIGURE 1.
FIGURE 1.
Predicted structure and processing sites of the H19-derived primary miR-675 precursor. (A) Predicted RNA structures adopted by human and mouse pri-miR-675. Predicted Drosha processing sites are indicated by closed arrows and Dicer processing sites by open arrows. The predicted mature miRNA sequences are shown in red, including the miR-675 cDNA sequence cloned from human keratinocytes. The human and mouse pri-miR-675 precursors differ at six positions, indicated in blue, including a single nucleotide deletion in the terminal loop (shown as a delta). There is one difference in the predicted mature miRNA, a G to A change at position 10. This change lies outside the critical miRNA “seed” region (nucleotides 2–8) (Bartel 2004) and would continue to permit base pairing to a “U” residue in target mRNAs. (B) Predicted RNA structure adopted by the KSHV pri-miR-K5 hairpin. A previously described (Gottwein et al. 2006) natural polymorphism in the pri-miR-K5 precursor, which results in inefficient Drosha processing, is indicated in green. (C) Primer extension analysis to detect mature human or mouse miR-675. 293T cells were transfected with expression plasmids encoding similar ∼580-nt-long H19 cDNA sequences centered on the predicted pri-miR-675 hairpins (panel A). At 48 h after transfection, total RNA was harvested and subjected to primer extension analysis (Lee et al. 2003) using 18-nt primers fully complementary to the 3′ ends of the predicted human or mouse miR-675 sequence. The predicted 23-nt-long extension product was detected in each case. Mock-transfected 293T cells were used as a negative control.
FIGURE 2.
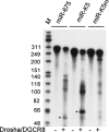
FIGURE 2.
H19 is processed by Drosha in vitro. A 295-nt-long human pri-miR-675 transcript, centered on the predicted miR-675 hairpin (Fig. 1A) was transcribed in vitro in the presence of α-32P CTP. Flag-tagged Drosha:DGCR8 was affinity purified from 293T cells cotransfected with Drosha–Flag and DGCR8–Flag expression plasmids (Gottwein et al. 2006). The 295-nt pri-miR-675 precursor is predicted to be processed by Drosha:DGCR8 to give a 57-nt-long pre-miRNA (indicated with an asterisk). Wild-type and mutant (m) versions of a previously described (Gottwein et al. 2006) pri-miR-K5 transcript served as controls. The pre-miRNA intermediate for pri-miR-K5 is predicted to be 62 nt long (asterisk). (M) DNA markers.
FIGURE 3.
FIGURE 3.
Detection of mature miR-675 in newborn mice. This RPA analyzed 50 μg of total RNA derived from murine 3T3 cells (lane 2), a newborn (NB) mouse (lane 3), mock-transfected 293T cells (lane 4), or 293T cells transfected with a mouse H19 (mH19) expression plasmid (lane 5). The 31-nt-long single-stranded RPA probe used consisted of a 23-nt stretch complementary to the predicted mature mouse miR-675, a 5-nt 5′ extension complementary to part of the predicted terminal loop of the pre-miR-675 RNA hairpin (Fig. 1A), and finally a 3-nt nonspecific 5′ tag consisting of “GGG.” The probe was prepared by in vitro transcription, using T7 RNA polymerase, in the presence of α-32P-CTP. This RPA was performed using a miRVana miRNA detection kit (Ambion), as described by the manufacturer. (M) DNA markers.

References

    1. Bartel, D.P. MicroRNAs: Genomics, biogenesis, mechanism, and function. Cell. 2004;116:281–297. - PubMed
    1. Bartolomei, M.S., Zemel, S., Tilghman, S.M. Parental imprinting of the mouse H19 gene. Nature. 1991;351:153–155. - PubMed
    1. Brunkow, M.E., Tilghman, S.M. Ectopic expression of the H19 gene in mice causes prenatal lethality. Genes & Dev. 1991;5:1092–1101. - PubMed
    1. Cai, X., Li, G., Laimins, L.A., Cullen, B.R. Human papillomavirus genotype 31 does not express detectable microRNA levels during either latent or productive virus replication. J. Virol. 2006;80:10890–10893. - PMC - PubMed
    1. Cullen, B.R. Transcription and processing of human microRNA precursors. Mol. Cell. 2004;16:861–865. - PubMed

Publication types