Comparison of virulence plasmids among Clostridium perfringens type E isolates
- PMID: 17261608
- PMCID: PMC1865703
- DOI: 10.1128/IAI.01981-06
Comparison of virulence plasmids among Clostridium perfringens type E isolates
Abstract
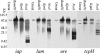
Clostridium perfringens type E isolates produce iota-toxin, which is encoded by iap and ibp genes. Using Southern blot analyses, the current study identified iap/ibp plasmids of approximately 97 or approximately 135 kb among eight type E isolates. For most of these isolates, their iap/ibp plasmid also encoded urease and lambda-toxin. However, the beta2-toxin gene, if present, was on a different plasmid from the iap/ibp plasmid. For all isolates, the iap/ibp plasmid carried a tcp locus, strongly suggesting that these plasmids are conjugative. Overlapping PCR analyses demonstrated some similarity between the iap/ibp plasmids and enterotoxin-encoding plasmids of type A isolates. Additional PCR analyses demonstrated that the iap/ibp locus is located near dcm sequences, an apparent plasmid hot spot for toxin gene insertion, and that two IS1151-related sequences are present in the iap/ibp locus. To begin testing whether those IS1151-like sequences can mobilize iap/ibp genes, a PCR assay was performed that amplifies a product only from circular DNA forms that could represent transposition intermediates. This PCR assay detected circular forms containing iap/ibp genes and silent enterotoxin gene sequences, with or without an IS1151-like sequence. Collectively, these results suggest that a mobile genetic element carrying iap/ibp has inserted onto a tcp-carrying enterotoxin plasmid in a type A isolate, creating a progenitor iap/ibp plasmid. That plasmid then spread via conjugation to other isolates, converting them to type E. Further iap/ibp plasmid diversity occurred when either the iap/ibp genes later remobilized and inserted onto other conjugative plasmids or some iap/ibp plasmids acquired additional DNA sequences.
Figures





References
-
- Brynestad, S., and P. E. Granum. 1999. Evidence that Tn5565, which includes the enterotoxin gene in Clostridium perfringens, can have a circular form which may be a transposition intermediate. FEMS Microbiol. Lett. 170:281-286. - PubMed
Publication types
MeSH terms
Substances
Associated data
- Actions
Grants and funding
LinkOut - more resources
Full Text Sources
Molecular Biology Databases
Research Materials