Skip to main page content
U.S. flag

An official website of the United States government

Dot gov

The .gov means it’s official.
Federal government websites often end in .gov or .mil. Before sharing sensitive information, make sure you’re on a federal government site.

Https

The site is secure.
The https:// ensures that you are connecting to the official website and that any information you provide is encrypted and transmitted securely.

Access keys NCBI Homepage MyNCBI Homepage Main Content Main Navigation
Comparative Study
. 2007 Feb 14;27(7):1584-93.
doi: 10.1523/JNEUROSCI.5112-06.2007.

Allelic variation in RGS4 impacts functional and structural connectivity in the human brain

Affiliations
Comparative Study

Allelic variation in RGS4 impacts functional and structural connectivity in the human brain

Joshua W Buckholtz et al. J Neurosci. .

Abstract

Regulator of G-protein signaling 4 (RGS4) modulates postsynaptic signal transduction by affecting the kinetics of G alpha-GTP binding. Linkage, association, and postmortem studies have implicated the gene encoding RGS4 (RGS4) as a schizophrenia susceptibility factor. Using a multimodal neuroimaging approach, we demonstrate that genetic variation in RGS4 is associated with functional activation and connectivity during working memory in the absence of overt behavioral differences, with regional gray and white matter volume and with gray matter structural connectivity in healthy human subjects. Specifically, variation at one RGS4 single nucleotide polymorphism that has been associated previously with psychosis (rs951436) impacts frontoparietal and frontotemporal blood oxygenation level-dependent response and network coupling during working memory and results in regionally specific reductions in gray and white matter structural volume in individuals carrying the A allele. These findings suggest mechanisms in brain for the association of RGS4 with risk for psychiatric illness.

PubMed Disclaimer

Figures

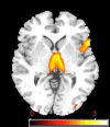
Figure 1.
Figure 1.
Effect of RGS4 genotype on brain activation during working memory. Image depicts positive (red) and negative (green) correlations between two-back activation and the number of A alleles. Image thresholded at 0.01 uncorrected, k > 8.
Figure 2.
Figure 2.
Effect of RGS4 genotype on functional connectivity, right VLPFC seed. Image depicts positive correlation between the number of A alleles and working memory-related network connectivity with right VLPFC reference region. Unthresholded image; color bar represents t score values.
Figure 3.
Figure 3.
Effect of RGS4 genotype on functional connectivity, left VLPFC seed. Image depicts positive correlation between the number of A alleles and working memory-related network connectivity with left VLPFC reference region. Unthresholded image; color bar represents t score values.
Figure 4.
Figure 4.
Effect of RGS4 genotype on gray matter volume. Image depicts negative correlation between the number of A alleles and gray matter structural volume, thresholded at 0.05 uncorrected, k > 500.
Figure 5.
Figure 5.
Effect of RGS4 genotype on white matter volume. Image depicts negative correlation between number of A alleles and white matter structural volume, thresholded at 0.005 uncorrected, k > 500. Rendered on single-subject T1-weighted image to visualize localization of gene effect on white matter in right ventral prefrontal region.

References

    1. Addington AM, Gornick M, Duckworth J, Sporn A, Gogtay N, Bobb A, Greenstein D, Lenane M, Gochman P, Baker N, Balkissoon R, Vakkalanka RK, Weinberger DR, Rapoport JL, Straub RE. GAD1 (2q31.1), which encodes glutamic acid decarboxylase (GAD67), is associated with childhood-onset schizophrenia and cortical gray matter volume loss. Mol Psychiatry. 2005;10:581–588. - PubMed
    1. Aron AR, Robbins TW, Poldrack RA. Inhibition and the right inferior frontal cortex. Trends Cogn Sci. 2004;8:170–177. - PubMed
    1. Barch DM, Carter CS, Braver TS, Sabb FW, MacDonald A, III, Noll DC, Cohen JD. Selective deficits in prefrontal cortex function in medication-naive patients with schizophrenia. Arch Gen Psychiatry. 2001;58:280–288. - PubMed
    1. Berman DM, Wilkie TM, Gilman AG. GAIP and RGS4 are GTPase-activating proteins for the Gi subfamily of G protein alpha subunits. Cell. 1996;86:445–452. - PubMed
    1. Beyer CE, Ghavami A, Lin Q, Sung A, Rhodes KJ, Dawson LA, Schechter LE, Young KH. Regulators of G-protein signaling 4: modulation of 5-HT(1A)-mediated neurotransmitter release in vivo. Brain Res. 2004;1022:214–220. - PubMed

Publication types