Sonic hedgehog-Gli1 pathway in colorectal adenocarcinomas
- PMID: 17461467
- PMCID: PMC4146943
- DOI: 10.3748/wjg.v13.i11.1659
Sonic hedgehog-Gli1 pathway in colorectal adenocarcinomas
Abstract
Aim: To determine the role of Sonic hedgehog (Shh) pathway in colorectal adenocarcinomas through analysis of the expression of Shh pathway-related molecules, Shh, Ptch1, hedgehog-interacting protein (Hip), Gli1, Gli3 and PDGFRalpha.
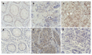
Methods: Expression of Shh in 25 colorectal adeno-carcinomas was detected by RT-PCR, in situ hybridization and immunohistochemistry. Expression of Ptch1 was observed by in situ hybridization and immunohistochemistry. Expression of Hip, Gli1, Gli3 and PDGFRalpha was analyzed by in situ hybridization.
Results: Expression of cytokeratin AE1/AE3 was observed in the cytoplasm of colorectal crypts. Members of the Hh signaling pathway were expressed in colorectal epithelium. Shh was expressed in cytoplasm of dysplastic epithelial cells, while expression of Ptch1, Hip and Gli1 were mainly detected in the malignant crypts of adenocarcinomas. In contrast, PDGFRalpha was expressed highly in aberrant crypts and moderately in the stroma. Expression of Gli3 could not be detected in colorectal adenocarcinomas.
Conclusion: These data suggest that Shh-Ptch1-Gli1 signaling pathway may play a role in the progression of colorectal tumor.
Figures
References
-
- Hammerschmidt M, Bitgood MJ, McMahon AP. Protein kinase A is a common negative regulator of Hedgehog signaling in the vertebrate embryo. Genes Dev. 1996;10:647–658. - PubMed
-
- Johnson RL, Scott MP. New players and puzzles in the Hedgehog signaling pathway. Curr Opin Genet Dev. 1998;8:450–456. - PubMed
-
- Pathi S, Pagan-Westphal S, Baker DP, Garber EA, Rayhorn P, Bumcrot D, Tabin CJ, Blake Pepinsky R, Williams KP. Comparative biological responses to human Sonic, Indian, and Desert hedgehog. Mech Dev. 2001;106:107–117. - PubMed
-
- Denef N, Neubüser D, Perez L, Cohen SM. Hedgehog induces opposite changes in turnover and subcellular localization of patched and smoothened. Cell. 2000;102:521–531. - PubMed
-
- Taipale J, Cooper MK, Maiti T, Beachy PA. Patched acts catalytically to suppress the activity of Smoothened. Nature. 2002;418:892–897. - PubMed
Publication types
MeSH terms
Substances
LinkOut - more resources
Full Text Sources
Other Literature Sources
Medical
Miscellaneous
