Mutation of FIG4 causes neurodegeneration in the pale tremor mouse and patients with CMT4J
- PMID: 17572665
- PMCID: PMC2271033
- DOI: 10.1038/nature05876
Mutation of FIG4 causes neurodegeneration in the pale tremor mouse and patients with CMT4J
Abstract
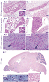
Membrane-bound phosphoinositides are signalling molecules that have a key role in vesicle trafficking in eukaryotic cells. Proteins that bind specific phosphoinositides mediate interactions between membrane-bounded compartments whose identity is partially encoded by cytoplasmic phospholipid tags. Little is known about the localization and regulation of mammalian phosphatidylinositol-3,5-bisphosphate (PtdIns(3,5)P2), a phospholipid present in small quantities that regulates membrane trafficking in the endosome-lysosome axis in yeast. Here we describe a multi-organ disorder with neuronal degeneration in the central nervous system, peripheral neuronopathy and diluted pigmentation in the 'pale tremor' mouse. Positional cloning identified insertion of ETn2beta (early transposon 2beta) into intron 18 of Fig4 (A530089I17Rik), the homologue of a yeast SAC (suppressor of actin) domain PtdIns(3,5)P2 5-phosphatase located in the vacuolar membrane. The abnormal concentration of PtdIns(3,5)P2 in cultured fibroblasts from pale tremor mice demonstrates the conserved biochemical function of mammalian Fig4. The cytoplasm of fibroblasts from pale tremor mice is filled with large vacuoles that are immunoreactive for LAMP-2 (lysosomal-associated membrane protein 2), consistent with dysfunction of the late endosome-lysosome axis. Neonatal neurodegeneration in sensory and autonomic ganglia is followed by loss of neurons from layers four and five of the cortex, deep cerebellar nuclei and other localized brain regions. The sciatic nerve exhibits reduced numbers of large-diameter myelinated axons, slowed nerve conduction velocity and reduced amplitude of compound muscle action potentials. We identified pathogenic mutations of human FIG4 (KIAA0274) on chromosome 6q21 in four unrelated patients with hereditary motor and sensory neuropathy. This novel form of autosomal recessive Charcot-Marie-Tooth disorder is designated CMT4J.
Figures





Comment in
-
CMT4J: Charcot-Marie-Tooth disorder caused by mutations in FIG4.Clin Genet. 2008 Apr;73(4):318-9. doi: 10.1111/j.1399-0004.2008.00962_3.x. Epub 2008 Feb 5. Clin Genet. 2008. PMID: 18261132 No abstract available.
References
Publication types
MeSH terms
Substances
Grants and funding
LinkOut - more resources
Full Text Sources
Other Literature Sources
Medical
Molecular Biology Databases
Miscellaneous