Hysteroscopic resection of the vaginal septum in uterus didelphys with obstructed hemivagina: a case report
- PMID: 17728527
- PMCID: PMC2693837
- DOI: 10.3346/jkms.2007.22.4.766
Hysteroscopic resection of the vaginal septum in uterus didelphys with obstructed hemivagina: a case report
Abstract
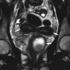
Uterus didelphys with obstructed hemivagina and ipsilateral renal agenesis is a rare congenital anomaly. Excision of the obstructed vaginal septum is the treatment of choice for symptom relief and the preservation of reproductive capability. A 14-yr-old girl complained of persistent vaginal spotting following each menstruation. Pelvic magnetic resonance imaging revealed a uterus didelphys with left hematocolpos and ipsilateral renal agenesis. Instead of conventional transvaginal excision of the vaginal septum, we used hysteroscopic excision under transabdominal ultrasonographic guidance to preserve the integrity of the hymen. The postoperative course was uneventful, and clinical symptoms were completely resolved after this intervention. Resectoscopic excision of the vaginal septum was found to be easy, safe, effective, and appropriate for young women as it preserved hymen integrity. We believe that this is the first Korean report on the use of a hysteroscopy for vaginal septum resection in a patient with uterus didelphys with obstructed hemivagina.
Figures
 
              
              
              
              
                
                
                 
              
              
              
              
                
                
                 
              
              
              
              
                
                
                 
              
              
              
              
                
                
                References
- 
    - Burgis J. Obstructive Mullerian anomalies: case report, diagnosis, and management. Am J Obstet Gynecol. 2001;185:338–344. - PubMed
 
- 
    - Prada Arias M, Muguerza Vellibre R, Montero Sanchez M, Vazquez Castelo JL, Arias Gonzalez M, Rodriguez Costa A. Uterus didelphys with obstructed hemivagina and multicystic dysplastic kidney. Eur J Pediatr Surg. 2005;15:441–445. - PubMed
 
- 
    - Gilsanz V, Cleveland RH, Reid BS. Duplication of the Mullerian ducts and genitourinary malformations. Part II: analysis of malformations. Radiology. 1982;144:797–801. - PubMed
 
- 
    - Rock JA, Breech LL. Surgery for anomalies of the Müllerian ducts. In: Rock JA, Thompson JD, editors. Te Linde Operative Gynecology. 9th ed. Philadelphia: Lippincott Williams & Wilkins; 2003. pp. 746–748.
 
- 
    - Tsai EM, Chiang PH, Hsu SC, Su JH, Lee JN. Hysteroscopic resection of vaginal septum in an adolescent virgin with obstructed hemivagina. Hum Reprod. 1998;13:1500–1501. - PubMed
 
Publication types
MeSH terms
LinkOut - more resources
- Full Text Sources
 
        