Autosomal recessive spastic ataxia of Charlevoix-Saguenay: a report of MR imaging in 5 patients
- PMID: 17846221
- PMCID: PMC8134385
- DOI: 10.3174/ajnr.A0603
Autosomal recessive spastic ataxia of Charlevoix-Saguenay: a report of MR imaging in 5 patients
Abstract
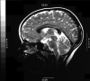
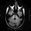
We present findings on MR imaging in 5 patients with autosomal recessive spastic ataxia of Charlevoix-Saguenay (ARSACS). In the literature, early atrophy of the superior vermis as well as progressive atrophy of the cerebellar hemispheres and cervical cord was described. We found linear hypointensity on T2 and T2 fluid-attenuated inversion recovery-weighted images in the pons in all of our 5 patients.
Figures




References
-
- Bouchard JP, Richter A, Mathieu J, et al. Autosomal recessive spastic ataxia of Charlevoix-Saguenay. Neuromuscul Disord 1998;8:474–79 - PubMed
-
- Bouchard J-P, Ritcher A, Mathieu J, et al. Autosomal recessive spastic ataxia (Charlevoix-Saguenay). In: Klockgether T, ed. Handbook of Ataxia Disorders. New York: Marcel Dekker;2000. :311–24
-
- Gomez CM. ARSACS goes global. Neurology 2004;62:10–11 - PubMed
-
- Bouchard J-P. Recessive spastic ataxia of Charlevoix-Saguenay. In: de Jong JMBV, ed. Hereditary Neuropathies and Spinocerebellar Atrophies. Handbook of Clinical Neurology, vol. 16. Amsterdam: Elsevier;1991. :451–59
-
- Melberg A, Dahl N, Hetta J, et al. Neuroimaging study in autosomal dominant cerebellar ataxia, deafness, and narcolepsy. Neurology 1999;53:2190–92 - PubMed
Publication types
MeSH terms
LinkOut - more resources
Full Text Sources
Medical