Neuropathology for the neuroradiologist: Antoni A and Antoni B tissue patterns
- PMID: 17893219
- PMCID: PMC8134199
- DOI: 10.3174/ajnr.A0682
Neuropathology for the neuroradiologist: Antoni A and Antoni B tissue patterns
Abstract
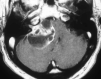
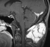
Histologic patterns of cellular architecture often suggest a tissue diagnosis. Distinctive histologic patterns seen within the peripheral nerve sheath tumor schwannoma include the Antoni A and Antoni B regions. The purpose of this report is to review the significance of Antoni regions in the context of schwannomas.
Figures








References
-
- Antoni NRE. Über Rückenmarksteumoren und Neurofibrome. Munich: J.F. Bergmann;1920
-
- Rosai J. Tumors and tumorlike conditions of peripheral nerves. In: Rosai and Ackerman's Surgical Pathology. Edinburgh: Mosby;2004. :2263–75
-
- Woodruff JM, Kourea HP. Schwannoma. In: World Health Organization Classification of Tumors: Pathology and Genetics of the Nervous System. Lyon: IARC Press;2000. :164–68
-
- Scheithauer BW, Giannini C. Perineuroma. In: World Health Organization Classification of Tumors: Pathology and Genetics of the Nervous System. Lyon: IARC Press;2000. :169–71
-
- Almefty R, Webber BL, Arnautovic KI. Intraneural perineurioma of the third cranial nerve: occurrence and identification. Case report. J Neurosurg 2006;104:824–27 - PubMed
Publication types
MeSH terms
LinkOut - more resources
Full Text Sources