Malfunctioning central venous catheters in children: a diagnostic approach
- PMID: 17932667
- PMCID: PMC2292495
- DOI: 10.1007/s00247-007-0610-2
Malfunctioning central venous catheters in children: a diagnostic approach
Abstract
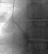
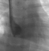
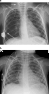
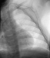
Central venous access is increasingly becoming the domain of the radiologist, both in terms of the insertion of central venous catheters (CVCs) and in the subsequent management of these lines. This article seeks to provide an overview of the CVC types available for paediatric patients and a more detailed explanation of the spectrum of complications that may lead to catheter malfunction. A standard catheter contrast study or 'linogram' technique is described. The normal appearances of such a study and a detailed pictorial review of abnormal catheter studies are provided, together with a brief overview of how information from catheter investigations can guide the management of catheter complications.
Figures
References
-
- {'text': '', 'ref_index': 1, 'ids': [{'type': 'PubMed', 'value': '9114110', 'is_inner': True, 'url': 'https://pubmed.ncbi.nlm.nih.gov/9114110/'}]}
- Trerotola SO, Johnson MS, Harris VJ et al (1997) Outcome of tunneled hemodialysis catheters placed via the right internal jugular vein by interventional radiologists. Radiology 203:489–495 - PubMed
-
- {'text': '', 'ref_index': 1, 'ids': [{'type': 'PubMed', 'value': '8425090', 'is_inner': True, 'url': 'https://pubmed.ncbi.nlm.nih.gov/8425090/'}]}
- Mauro MA, Jaques PF (1997) Radiologic placement of long-term central venous catheters: a review. J Vasc Interv Radiol 4:127–137 - PubMed
-
- None
- Rush J, Baskin KM, Cahill AM et al (2005) Central venous access by different service providers: does it matter who puts in the port? (abstract). Pediatr Radiol 35 [Suppl 1]:S76
-
- None
- Roebuck DJ, Kleidon TM, McLaren CA et al (2005) Internal jugular vein (IJV) patency after central venous (CV) access (abstract). Pediatr Radiol 35 [Suppl 1]:S75
-
- {'text': '', 'ref_index': 1, 'ids': [{'type': 'PubMed', 'value': '10865606', 'is_inner': True, 'url': 'https://pubmed.ncbi.nlm.nih.gov/10865606/'}]}
- Blum AS (1999) The role of the interventional radiologist in central venous access. J Intraven Nurs 22 [Suppl 6]:S32–S39 - PubMed
Publication types
MeSH terms
Substances
LinkOut - more resources
Full Text Sources
