Central neurocytoma: a clinical, radiological and pathological study of nine cases
- PMID: 18022760
- PMCID: PMC2702989
- DOI: 10.1016/j.clineuro.2007.09.023
Central neurocytoma: a clinical, radiological and pathological study of nine cases
Abstract
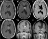
Purpose: Central neurocytoma is a rare intraventricular brain tumor that affects young adults and presents with increased intracranial pressure secondary to obstructive hydrocephalus. Typically, it has a favorable prognosis after adequate surgical intervention, but in some cases the clinical course is more aggressive. In this report, we describe the diagnosis and treatment of central neurocytoma in a series of patients at our institution.
Patients and methods: Our series of nine patients (M:F=2:7, mean age, 28.2 years) with ventricular tumors showed typical radiological, histologic and immunohistochemical features of central neurocytoma. Most patients received craniotomy with removal of the tumor through transcallosal or transcortical approach. The surgical and histopathologic data of these patients were reviewed and analyzed.
Results: The prognosis is generally favorable. Although most patients were alive and well at the last follow-up, two developed recurrence. Typical histologic features of recurrent neurocytoma include high proliferative activity (MIB-1 labeling index: 2.0-6.8%), prominent vascular proliferation and remarkable synaptophysin expression. Two patients (non-recurrent) died during follow-up due to sepsis or central failure. The MIB-1 labeling indices were as high as 2.2-5.4% for these two patients.
Conclusion: Although central neurocytoma is generally a benign neoplasm, some variant forms of recurrence are also present. Complete resection provides favorable long-term prognosis in most cases. Recurrent tumors are often local and the patients seem to recover well after a second resection followed by radiotherapy. Histologic features such as tumor proliferation (MIB-1 labeling index), vascular proliferation, and synaptophysin expression are often prominent in the recurrent tumor. We recommend that these histologic features be considered for tumor recurrence during treatment and follow-up of these patients.
Figures


References
-
- Hassoun J, Gambarelli D, Grisoli F, et al. Central neurocytoma. An electron-microscopic study of two cases. Acta Neuropathol. 1982;56:151–6. - PubMed
-
- Hassoun J, Soylemezoglu F, Gambarelli D, et al. Central neurocytoma: a synopsis of clinical and histological features. Brain Pathol. 1993;3:297–306. - PubMed
-
- Kim DG, Kim JS, Chi JG, Park SH, Jung HW, et al. Central neurocytoma: proliferative potential and biological behavior. J Neurosurg. 1996;84:742–7. - PubMed
-
- Valdueza JM, Westphal M, Vortmeyer A, Muller D. Central neurocytoma: clinical, immunohistologic, and biologic findings of a human neuroglial progenitor tumor. Surg Neurol. 1996;45:49–56. - PubMed
-
- Aker FV, Ozkara S, Eren P, Peker O, et al. Cerebellar liponeurocytoma/lipidized medulloblastoma. J Neurooncol. 2005;71:53–9. - PubMed
MeSH terms
Substances
Grants and funding
LinkOut - more resources
Full Text Sources
Medical